ALLON4 ZYGOMA0
治療の特徴
片顎に4本のインプラントを埋入し、全ての歯を固定する治療法です。
インプラントの本数を最小限に抑えることで、治療費や身体への負担を軽減できます。
また、手術当日に固定式の仮歯を装着するため、すぐに噛む・話すことが可能です。
対象となる患者様
・1日で全部の歯を入れたい
・上顎骨が足りている
・最小限のインプラントで治療したい
他プラン
症例
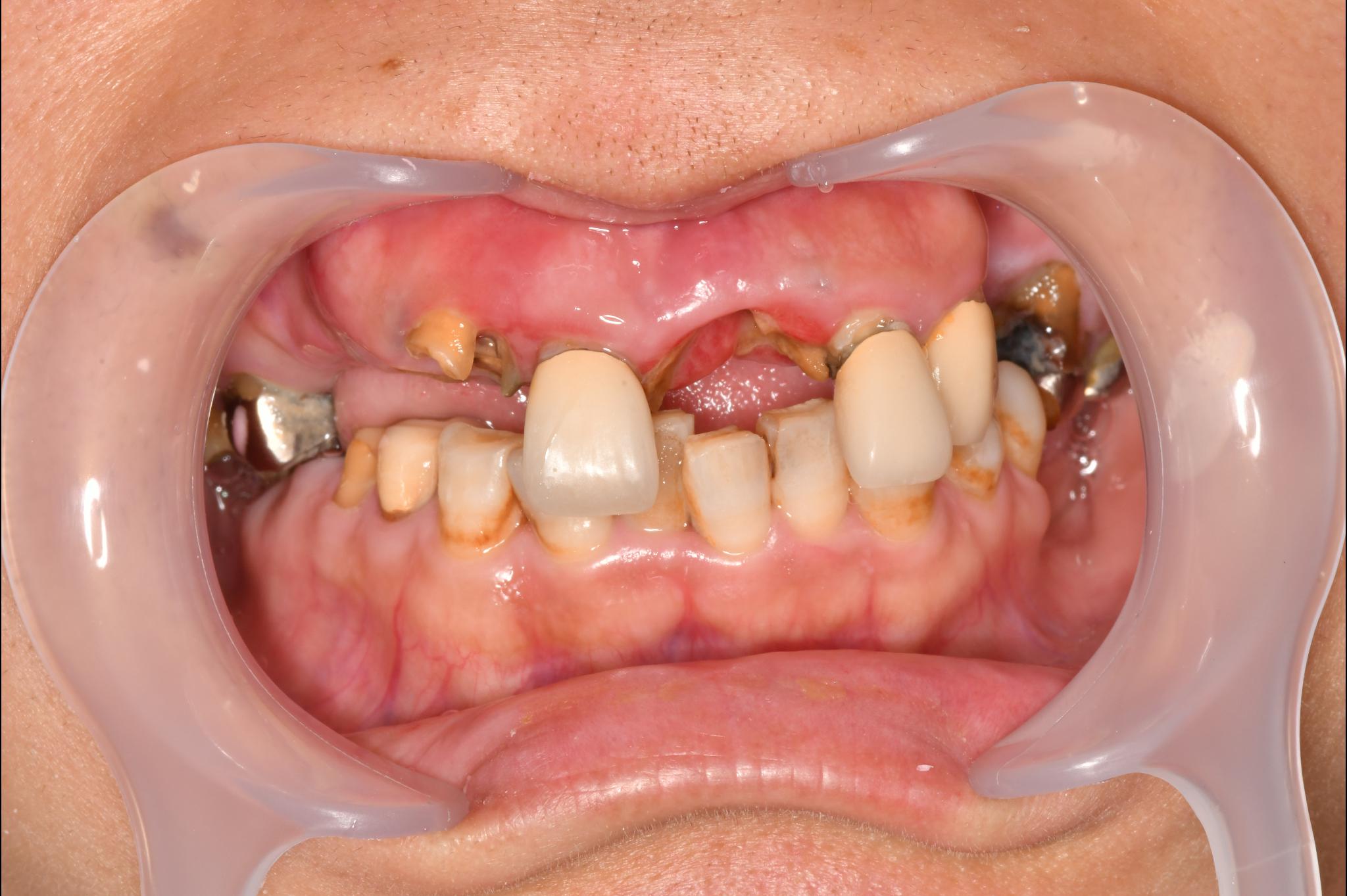
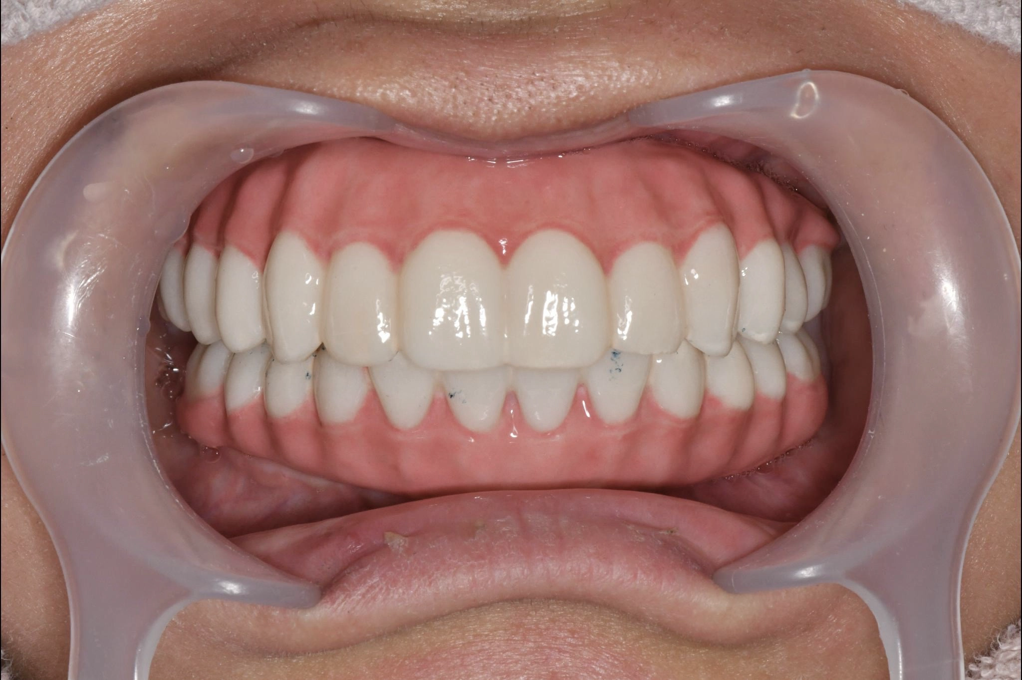
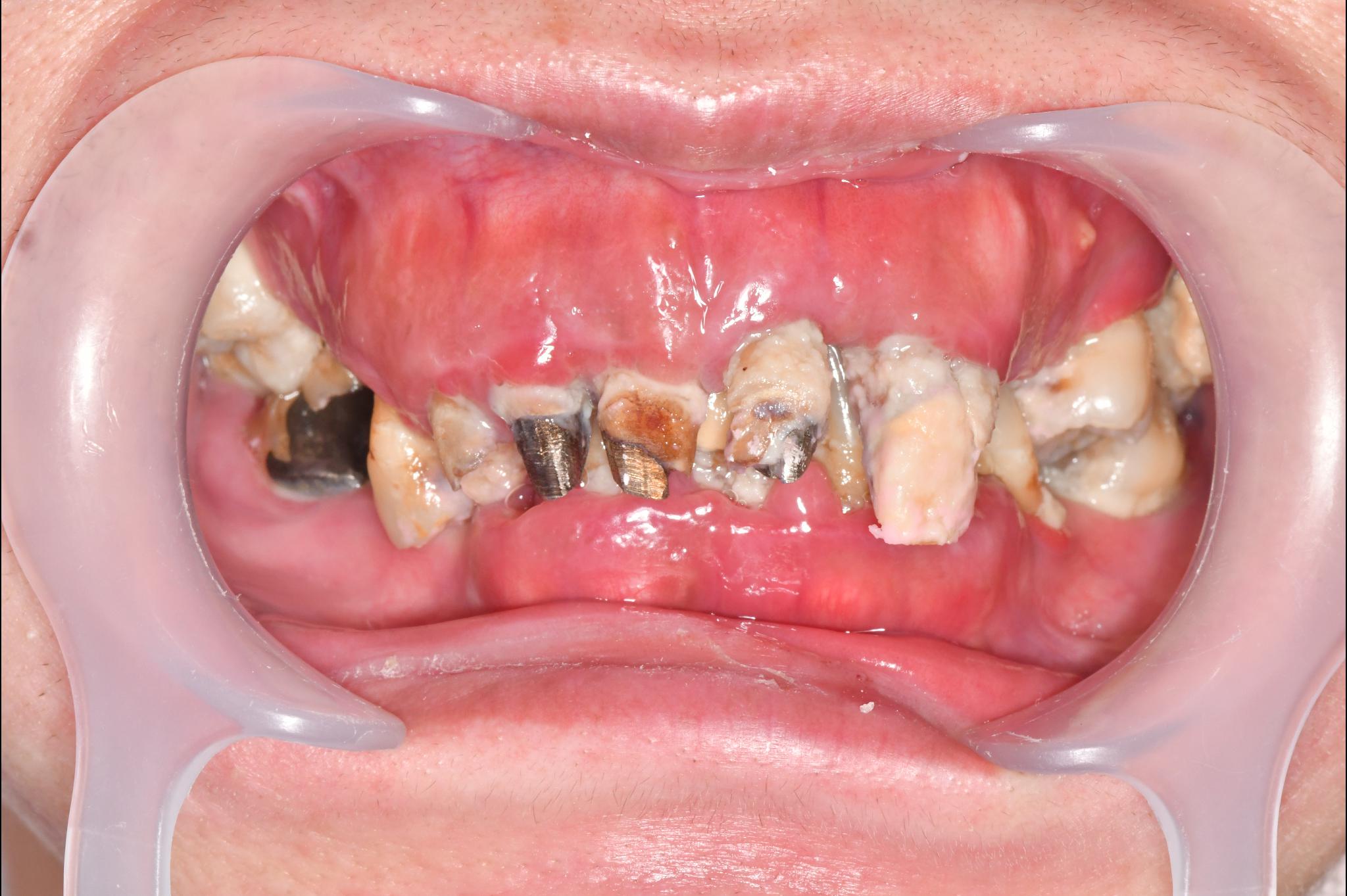
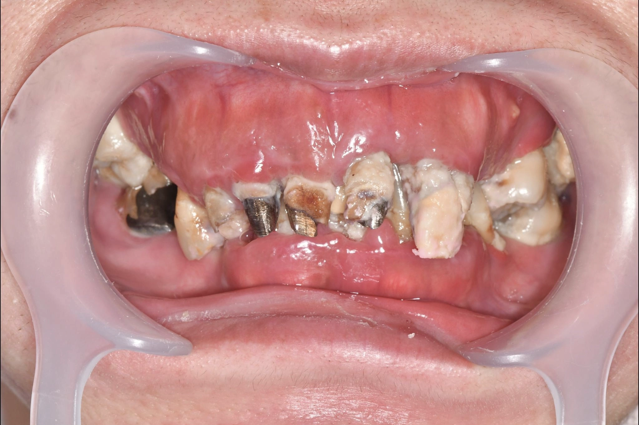
大分県 45歳(女性)
「マスクを外して人付き合いをしたい」
術前
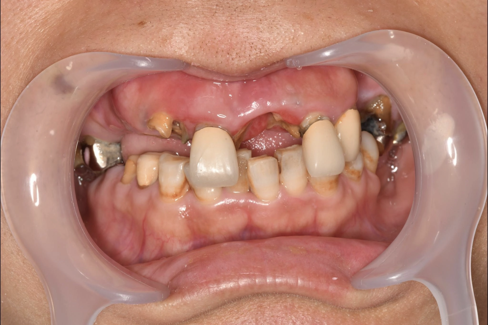
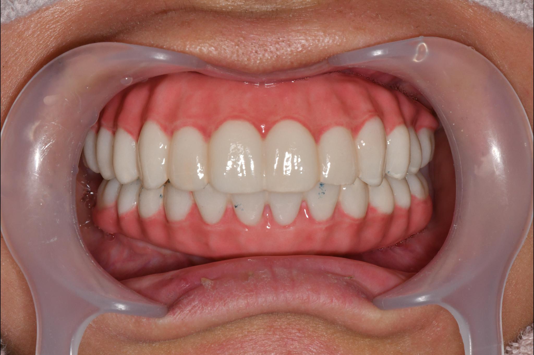
術後
内容 :上下顎オールオン4ザイゴマ0
費用 :4,365,900円
※モニター価格
期間 :半年
リスク:出血・腫れ・痺れ・痛み
「何度も通って恥ずかしい思いを長引かせたくない」という気持ちがありましたので、治療期間が短く、たった1日で固定式の歯が入ることがとても魅力的でした。
手術に対しては強い恐怖心を持っていましたが、実際には術中の記憶はほとんどなく、痛みを感じることもなく無事に終えることができました。
これまでは口元を気にして人との接触を避けていましたが、「笑顔で話したい」という明るい気持ちになれました。
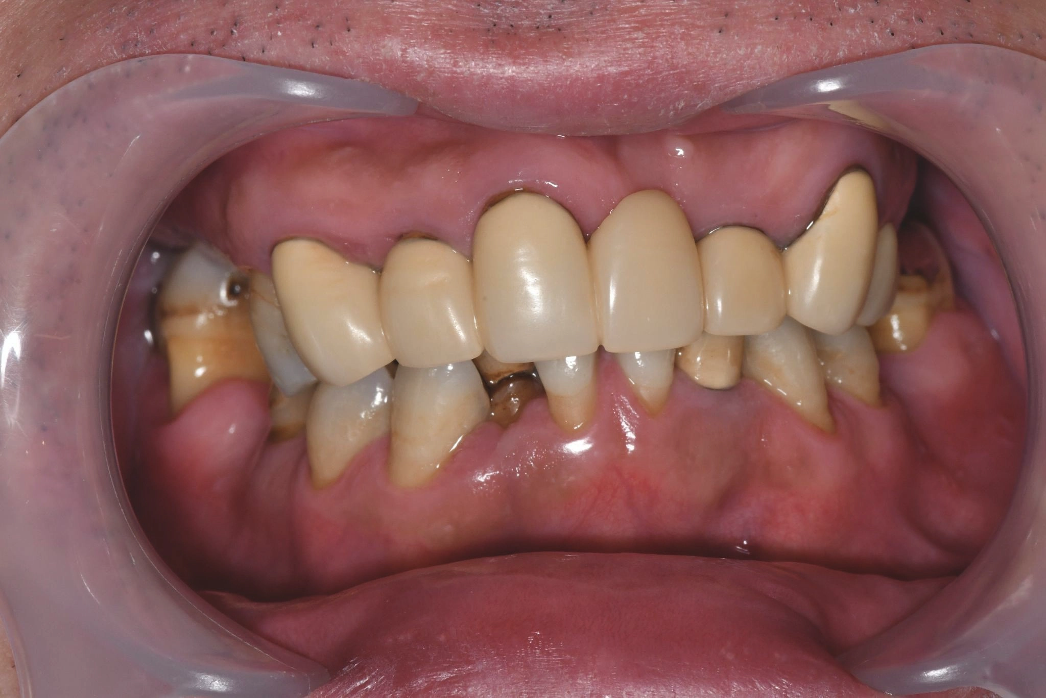
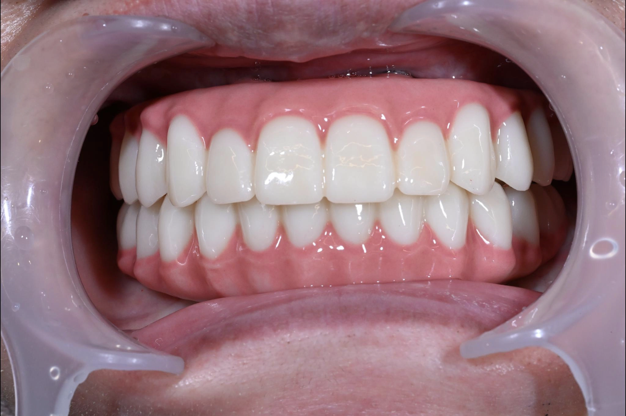
福岡県 49歳(男性)
「長年の口元の不安が負担」
術前
術後
内容 :上下顎オールオン4ザイゴマ0
費用 :4,989,600円
※モニター価格
期間 :半年
リスク:出血・腫れ・痺れ・痛み
他院でインプラント治療を行っていましたが突然閉院となり、治療が中断されてしまいました。噛み合わせや歯並びに深刻な悩みを抱えることになり、口元の不安が負担になっていました。
相談の中でわずか1日で固定式の歯が入るスピード感に大きな魅力を感じました。
「ここなら長年の悩みが無くなるかもしれない」と感じ、手術を受ける決断をしました。
手術当日に歯が入り、その即時性に深く満足しています。これまでは人前で笑えないことが最大の悩みでしたが、これからは笑顔が増えていきそうです。
福岡県 46歳(女性)
「根本的な改善をしたい
内容 :上下顎オールオン4ザイゴマ0
費用 :4,822,400円
※モニター価格
期間 :半年
リスク:出血・腫れ・痺れ・痛み
他院で治療を行なっていましたが、根本的な改善には至らないまま不安な状態が続いていました。
カウンセリングで治療の流れや方法について詳しく説明を聞いて手術することを決意しました。
手術前は恐さがあり、緊張していましたが、想像していたような痛みはなく、うたた寝しているような感じでした。気づけば終わっていて、とても満足しています。
元々の自分の歯と比べると仮歯が入った段階でも綺麗になっていて嬉しかったです。この治療法を選んで良かったと思います。
全部の歯が1回で入るまでの
タイムスケジュール

手術の準備を行います。
準備ができ次第手術を開始します。

手術自体は2時間ほどで終わります。

術後は麻酔がきれるまでお休みしていただきます。

お体に異常が無いか確認します。
検査が終わり次第、ご帰宅となります。
手術当日に固定式の歯(仮歯)を装着します。
すべての歯が入った状態で、手術当日にご帰宅いただけます。
ご来院回数
ご来院5回で本歯が入る
1回目
初診・相談
ご希望の治療法、不安なことなど、
お話をお聞かせください。
2回目
手術
この日に全部の歯が入ります。
※顎の形に合う理想的な仮歯
3回目
型取り・スキャン
ご希望のデザインをお伺いします。
4回目
試適
指定していただいた歯の
デザインの確認をします。
5回目
本歯装着
本歯が入ります。
1回目
2回目
※理想的な仮歯
3回目
最短2ヶ月後
4回目
中3週間後
5回目
中5週間後
半年に1回
即納プラン
即納プランは本歯までの期間が通常より早く仕上がるプランです。
遠方の方・大切なご予定などで早めに本歯をご希望の方に合わせ、優先的に作製させていただきます。ご希望の方はご相談ください。
※別途費用がかかります。
お気軽に
お問い合わせください
当院では、患者様の歯の悩みを解決するため、症例に合わせて丁寧な説明を行います。
また、どのような難症例であっても対応いたします。