ALLON4 ZYGOMA2
治療の特徴
ザイゴマインプラント は ザイゴマ ( 頬骨 )に埋入するデンタルインプラントのことです。
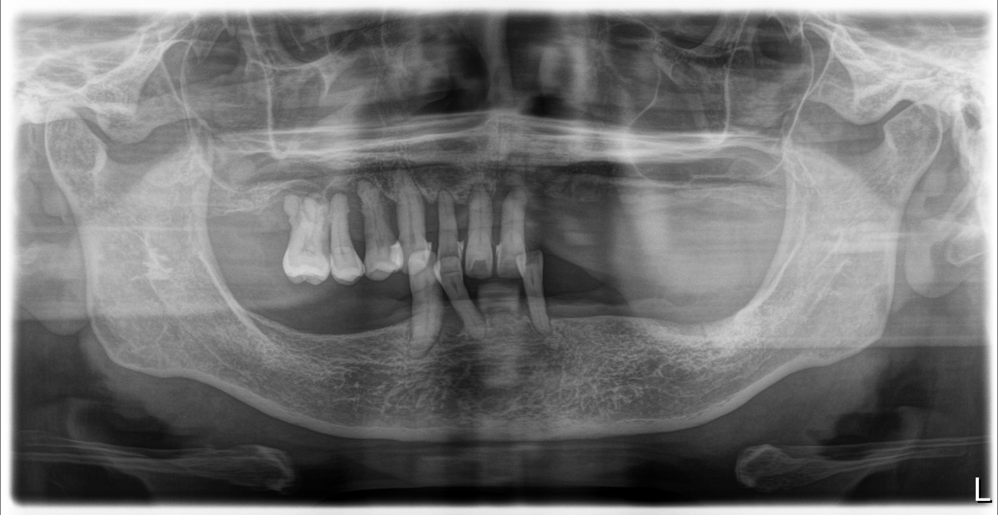
起始部を口腔内の歯槽部(歯があるエリア)におき、停止部を ザイゴマ ( 頬骨 )の外側皮質骨(骨表面の硬い部位)におきます。これにより、強い咬合力がかかる場合でも、十分な強度と安定性が期待できます。
骨量が不足している場合も対応できる、高度な専門技術を要するインプラント治療です。
対象となる患者様
・1日で全部の歯を入れたい方
・上顎骨がほとんどない方
・歯周病・虫歯を根治したい方
他プラン
症例
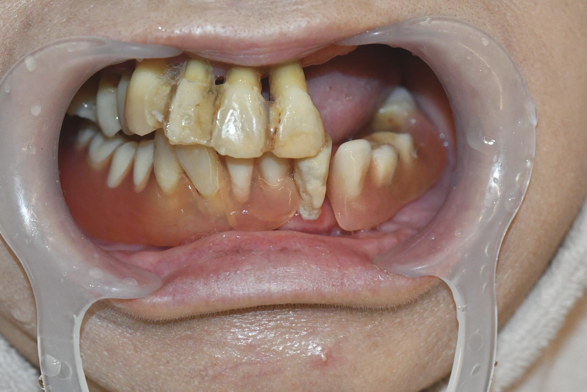
長崎県 57歳(女性)
「入れ歯が合わない」
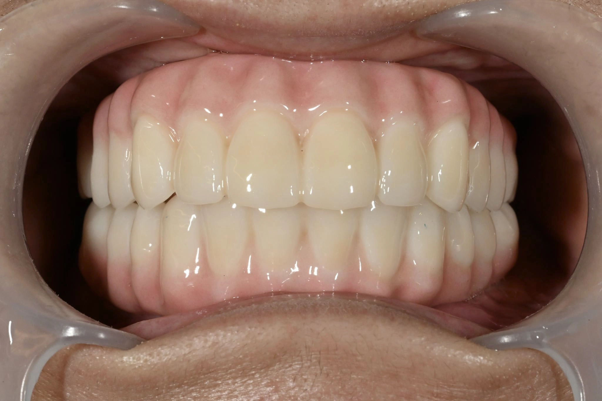
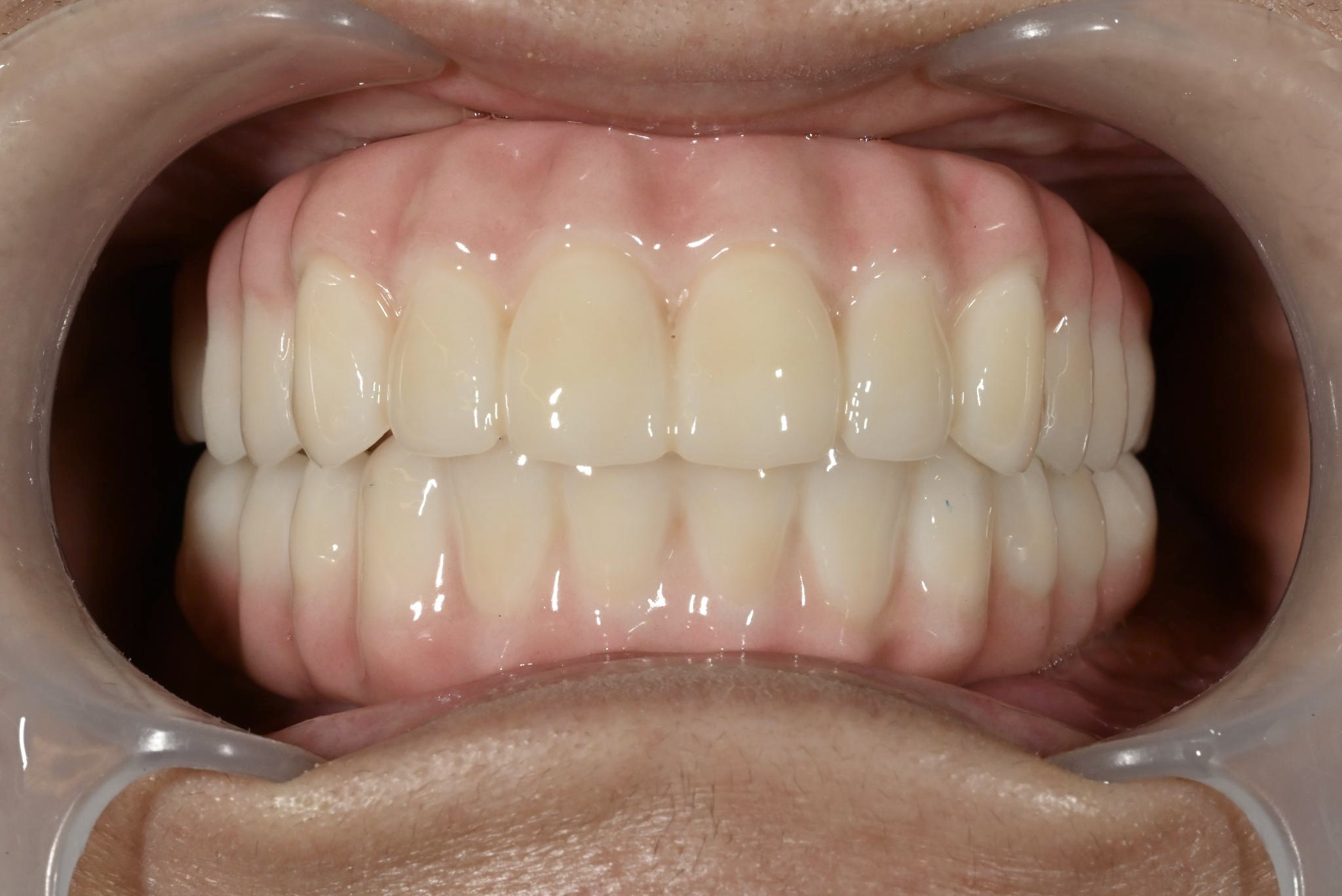
術前
術後
内容 :上下顎オールオン4ザイゴマ2
費用 :5,552,800円
※モニター価格
期間 :半年
リスク:出血・腫れ・痺れ・痛み
食事をしてもうめく噛めないため、食べるたびに不便さを感じていました。見た目も気になり、人前で口元を見せることに抵抗がありました。6年前に他院で作ってもらった入れ歯が合わず、解決しない状況が続いていました。
カウンセリングに行くと、スタッフの方が親切に対応してくれ、オールオン4ザイゴマという治療法について詳しく知ることができました。悩みを根本的に解決したいと思い、手術を決意しました。
手術前は恐さがありましたが、実際に始まるとあっという間に終わっていました。手術後、入った歯を見たときは綺麗で驚きました。今までの悩みがなくなり、手術をやって良かったと思います。自分と同じような歯の悩みを持つ人に勧めたいです。
福岡県 64歳(女性)
「口内全体を根本から綺麗にしたい」
術前
術後
内容 :上下顎オールオン4ザイゴマ2
費用 :4,963,200円
※モニター価格
期間 :半年
リスク:出血・腫れ・痺れ・痛み
他院でインプラント治療を行っていましたが突然閉院となり、治療が中断されてしまいました。噛み合わせや歯並びに深刻な悩みを抱えることになり、口元の不安が負担になっていました。
相談の中でわずか1日で固定式の歯が入るスピード感に大きな魅力を感じました。
「ここなら長年の悩みが無くなるかもしれない」と感じ、手術を受ける決断をしました。
手術当日に歯が入り、その即時性に深く満足しています。これまでは人前で笑えないことが最大の悩みでしたが、これからは笑顔が増えていきそうです。
福岡県 62歳(女性)
「義歯の機能に限界を感じていました」
術前
術後
内容 :上下顎オールオン4ザイゴマ2
費用 :5,899,850円
※モニター価格
期間 :半年
リスク:出血・腫れ・痺れ・痛み
磁石固定式の義歯を使用していましたが、頻繁に外れる上に痛みも伴い、機能的に限界を感じていました。特に、仕事柄「味見」をする必要があるのですが、義歯では満足に味を確かめることができず、支障が出ていました。食事の際も、食べ物が当たる度に歯茎に痛みもあり、日常生活においても深刻な悩みを抱えていました。
他院への相談もしましたが、将来的な維持管理や機能回復の確実性を考慮した結果、こちらでの治療を選びました。取り外し不要の固定式の歯になるオールオン4ザイゴマこそが、仕事と私生活の両立させるための唯一の手段だと確信し、手術を決意しました。
少し恐怖心はありましたが、スタッフの方の親切な対応のおかげでリラックスして臨むことができました。
手術当日に固定式の歯が入ったことに安堵しています。これから新しい歯に慣れていき、本来の咀嚼機能や、仕事で不可欠な「味覚を伴う味見」ができるようになることを期待しています。
全部の歯が1回で入るまでの
タイムスケジュール

手術の準備を行います。
準備ができ次第手術を開始します。

手術自体は2時間ほどで終わります。

術後は麻酔がきれるまでお休みしていただきます。

お体に異常が無いか確認します。
検査が終わり次第、ご帰宅となります。
手術当日に固定式の歯(仮歯)を装着します。
すべての歯が入った状態で、手術当日にご帰宅いただけます。
ご来院回数
ご来院5回で本歯が入る
1回目
初診・相談
ご希望の治療法、不安なことなど、
お話をお聞かせください。
2回目
手術
この日に全部の歯が入ります。
※顎の形に合う理想的な仮歯
3回目
型取り・スキャン
ご希望のデザインをお伺いします。
4回目
試適
指定していただいた歯の
デザインの確認をします。
5回目
本歯装着
本歯が入ります。
1回目
2回目
※理想的な仮歯
3回目
最短2ヶ月後
4回目
中3週間後
5回目
中5週間後
半年に1回
即納プラン
即納プランは本歯までの期間が通常より早く仕上がるプランです。
遠方の方・大切なご予定などで早めに本歯をご希望の方に合わせ、優先的に作製させていただきます。ご希望の方はご相談ください。
※別途費用がかかります。
お気軽に
お問い合わせください
当院では、患者様の歯の悩みを解決するため、症例に合わせて丁寧な説明を行います。
また、どのような難症例であっても対応いたします。