ALLON4 ZYGOMA4
治療の特徴
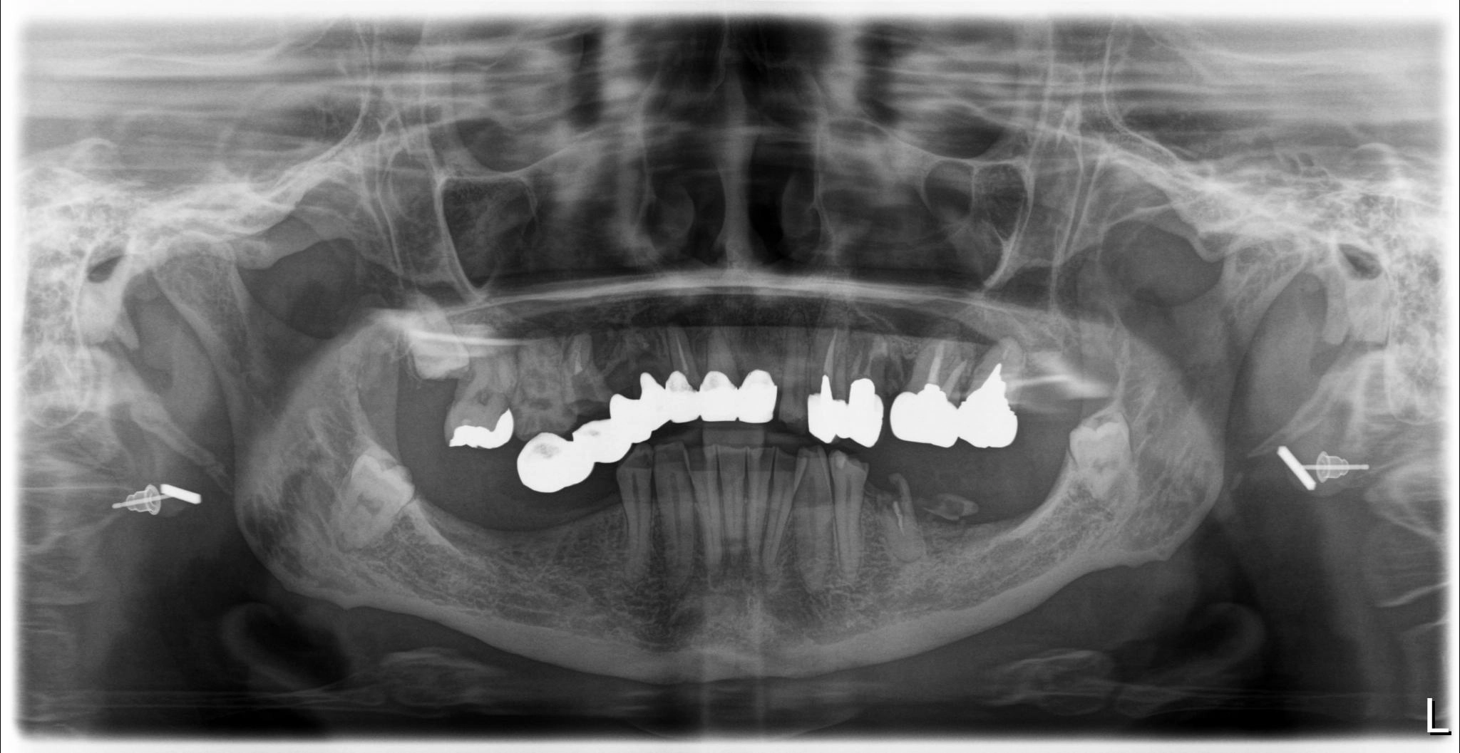
ザイゴマインプラント は ザイゴマ ( 頬骨 )に埋入するデンタルインプラントのことです。
起始部を口腔内の歯槽部(歯があるエリア)におき、停止部を ザイゴマ ( 頬骨 )の外側皮質骨(骨表面の硬い部位)におきます。これにより、強い咬合力がかかる場合でも、十分な強度と安定性が期待できます。
骨量が不足している場合も対応できる、高度な専門技術を要するインプラント治療です。
対象となる患者様
・1日で全部の歯を入れたい方
・上顎骨がほとんどない方
・歯周病・虫歯を根治したい方
他プラン
症例
福岡県 40代(男性)
「将来を考えて手術を決意」
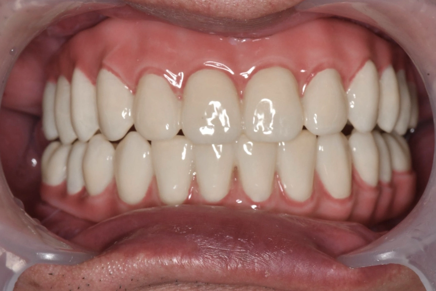
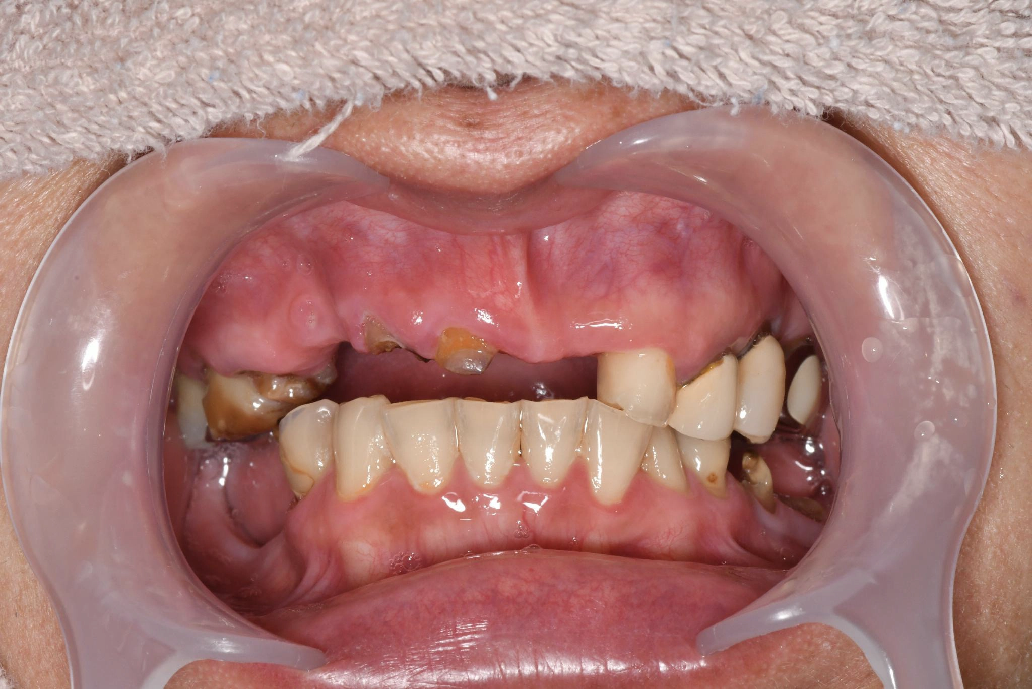
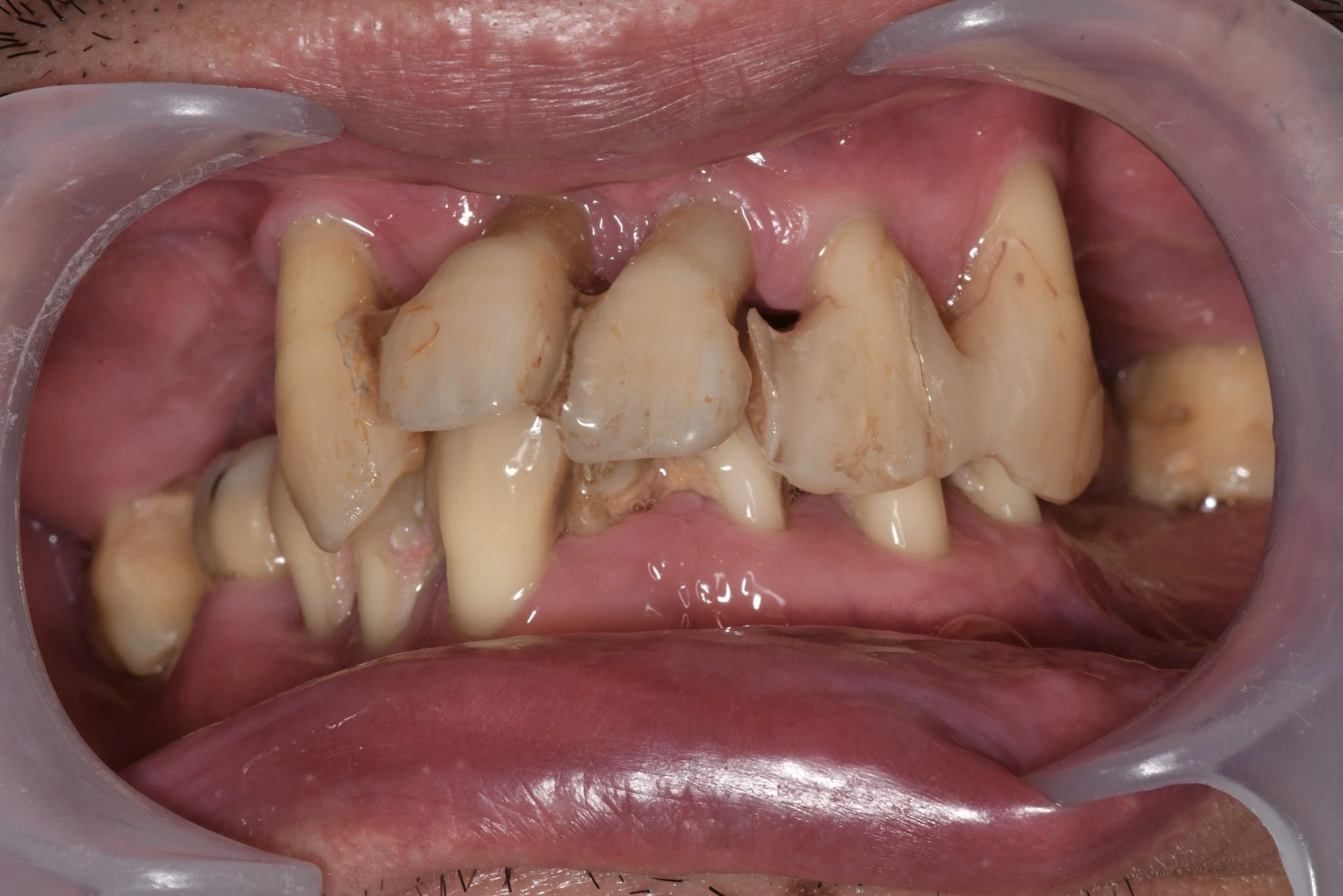
術前
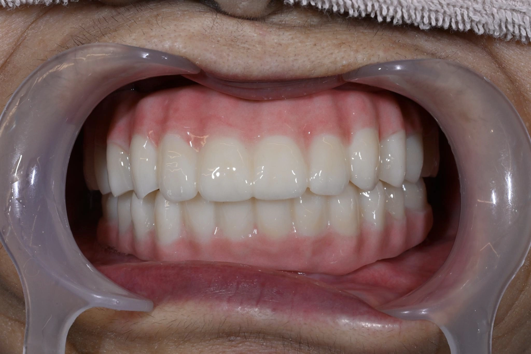
術後
内容 :上下顎オールオン4ザイゴマ4
費用 :5,500,000円
※モニター価格
期間 :半年
リスク:出血・腫れ・痺れ・痛み
長年歯について悩んでいました。歯がぐらつくことがあり、治療を行っていました。他院で入れ歯を作りましたが、噛み合わせが合わず、食事の際に噛みにくさを感じていました。
持病があるため、手術を受けられる状態か相談しに行くことにしました。
話を聞いてみるとスッタッフの方が親切で、不安な部分を確認しながら相談できました。
術中は特に痛みを感じることはなく、気づいたらいつの間にか終わっていました。術後、これまでの歯の状態と比べて綺麗になっていてとても満足しています。
福岡県 81歳(女性)
「義歯の悩みから解放されたい」
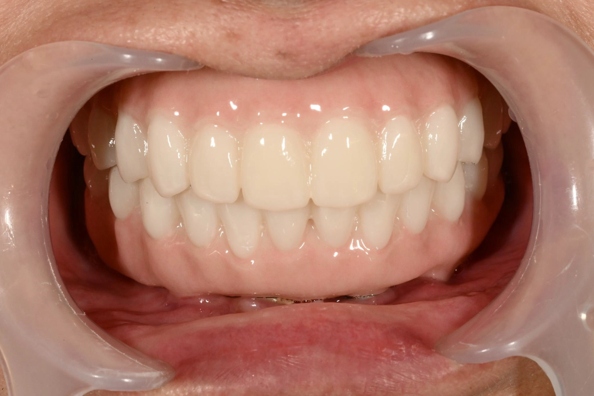
術前
術後
内容 :上下顎オールオン4ザイゴマ4
費用 :6,132,800円
※モニター価格
期間 :半年
リスク:出血・腫れ・痺れ・痛み
上下総義歯を使用していましたが、食事や会話の度に歯茎に痛みが生じ、日常生活において多大なストレスを抱えていました。情報誌「グランザ」でこちらのクリニックを知り、義歯の悩みから解放されたいという切実な思いから相談に行くことに決めました。
過去に麻酔による全身痙攣の経験があることや骨粗鬆症の治療薬を服用中であることなど外科的処置に対するリスク要因を持ち合わせていました。ですが、丁寧なカウンセリングと説明を受け、取り外し不要な「固定式の歯」を得られることへの魅力が不安を上回り、手術をうけることにしました。
手術は計画通り進行し、術後の仕上がりにもとても満足しています。
長年苦しめられた義歯による痛みや不自由さから解放され、食事を楽しめるようになることが楽しみです。美しい見た目になったのでマスクを外して過ごせるようになることも嬉しいです。自分と同じように歯の悩みで苦しむ方にぜひ勧めたいです。
沖縄県 50代(女性)
「歯の悩みをどうにかしたい」
術前
術後
内容 :上下顎オールオン4ザイゴマ4
費用 :5,230,500円
※モニター価格
期間 :半年
リスク:出血・腫れ・痺れ・痛み
以前から歯の悩みがあり、他院で入れ歯を作りましたが合わず、食事も楽しめなくなりました。歯を抜くなど治療を続けてはいたものの、改善せず、どうにかしたいという気持ちが強くなっていました。
カウンセリングでは詳しい治療の流れや疑問点を丁寧に説明してもらい、最初は不安もありましたが、話を聞く中で今の悩みを根本的に解決できるかもしれないと考え、手術を決意しました。
手術前も丁寧に説明していただいたおかげで、特に恐さもなく手術時間も短く感じました。手術の痛みも全く感じることはなく、手術を受けて良かったと満足しています。見た目も綺麗で違和感もなく感動しました。
入れ歯が合わない人や、歯の悩みがなかなか解決しない方にオールオン4ザイゴマを勧めたいです。
全部の歯が1回で入るまでの
タイムスケジュール

手術の準備を行います。
準備ができ次第手術を開始します。

手術自体は2時間ほどで終わります。

術後は麻酔がきれるまでお休みしていただきます。

お体に異常が無いか確認します。
検査が終わり次第、ご帰宅となります。
手術当日に固定式の歯(仮歯)を装着します。
すべての歯が入った状態で、手術当日にご帰宅いただけます。
ご来院回数
ご来院5回で本歯が入る
1回目
初診・相談
ご希望の治療法、不安なことなど、
お話をお聞かせください。
2回目
手術
この日に全部の歯が入ります。
※顎の形に合う理想的な仮歯
3回目
型取り・スキャン
ご希望のデザインをお伺いします。
4回目
試適
指定していただいた歯の
デザインの確認をします。
5回目
本歯装着
本歯が入ります。
1回目
2回目
※理想的な仮歯
3回目
最短2ヶ月後
4回目
中3週間後
5回目
中5週間後
半年に1回
即納プラン
即納プランは本歯までの期間が通常より早く仕上がるプランです。
遠方の方・大切なご予定などで早めに本歯をご希望の方に合わせ、優先的に作製させていただきます。ご希望の方はご相談ください。
※別途費用がかかります。
お気軽に
お問い合わせください
必須事項を全てご記入の上、[送信]をクリックしてください。
当院よりメールもしくはお電話を差し上げます。
※営業日3日経っても返信がない場合は
0120-118-372 まで、ご連絡ください。
日曜・祝日は休診日です。