All-on-4
ALL ・・・
ON
4 ・・・
片顎すべての歯と歯茎を意味しており、
「ALL」部を4本の
インプラントで支えることです。
骨移植や骨造成手術を必要としません。
これはつまり
・体への負担がすくない。
・治療期間・費用が抑えられる。
ということを意味しています。
そして、オールオン4のもっとも画期的な点は、
・1日で固定式の歯に なることです。
つまり、前歯がグラグラでも、歯がボロボロでも手術当日に仮歯が入り、噛めるようになるということです
他院で納得がいかない治療を勧められたり、
治療自体を断られたりしても諦めないでください
このように他院で言われた患者様が当院に来院されることも少なくありません。当院は4本のザイゴマインプラントからなるオールオン4(EZ4)まで施術可能です。
≫オールオン4手術を希望している・治療できないといわれた方はこちら
(※外部リンク インプラントの歯科ブログ)
当院ではしっかり噛めるという機能性はもちろんのこと、審美性(見た目の美しさ)も徹底的にこだわり設計します。
装着される歯は全て3Dデータ化され、最新のCADソフトウェアにて製作します。
また、独自特許のフェイシャルスキャンボディにより患者様ごとの顔に対して、より整合性の高い本歯の提供が可能となります。(特許6437699号)
インプラントを失敗された…
治療が二転三転する…
現在の治療に納得がいかない…
これ以上の治療がないと決めつけていませんか?
治療がうまくいかず自分を責めていませんか?
当院では、他院のインプラントのトラブルでも治療可能です。それがインプラントの治療途中でも対応可能です。多くの方がセカンドオピニオンで問い合わせをされています。
当院は福岡県福岡市にある歯科医院ですが、九州はもちろん、東京、大阪、沖縄、離島や海外にお住まいの方からもお越しいただいております。福岡市の市街地でかつ、駅から徒歩1分の立地です。
おおたわ歯科医院は『オールオン4 』『ザイゴマインプラント』を専門としたクリニックです。
福岡市にてインプラント治療を中心に歯科治療を通じて地域社会に貢献をしています。
福岡空港から
車で10~15分 電車で30分
博多駅から
車で5~10分 電車で25分
駐車場5台完備
西鉄髙宮駅から徒歩1分
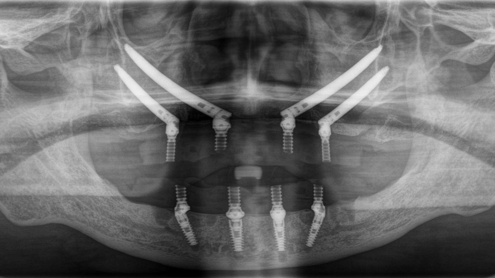
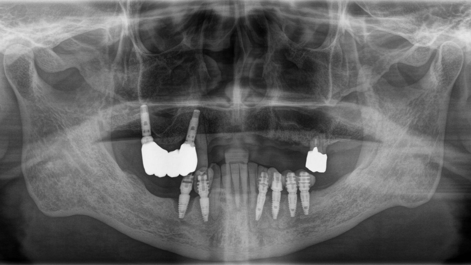
ザイゴマインプラントとは、All-on-4が難しいほど上顎骨が極度に痩せている方に対して頬骨(ザイゴマ)にインプラント埋入をする治療法です。骨が全くない方でも問題なくできるインプラント治療になります。
上下All-on-4
上顎:オールオン4ザイゴマ4本
下顎:オールオン4
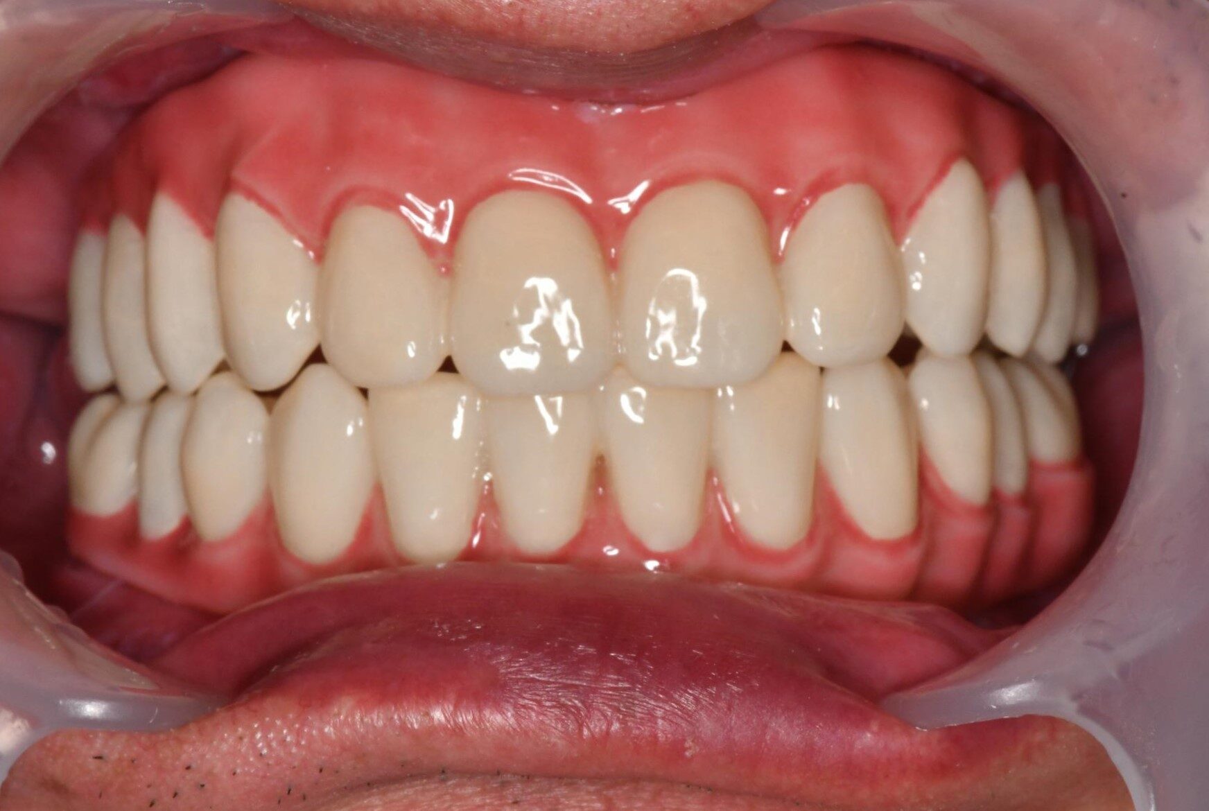
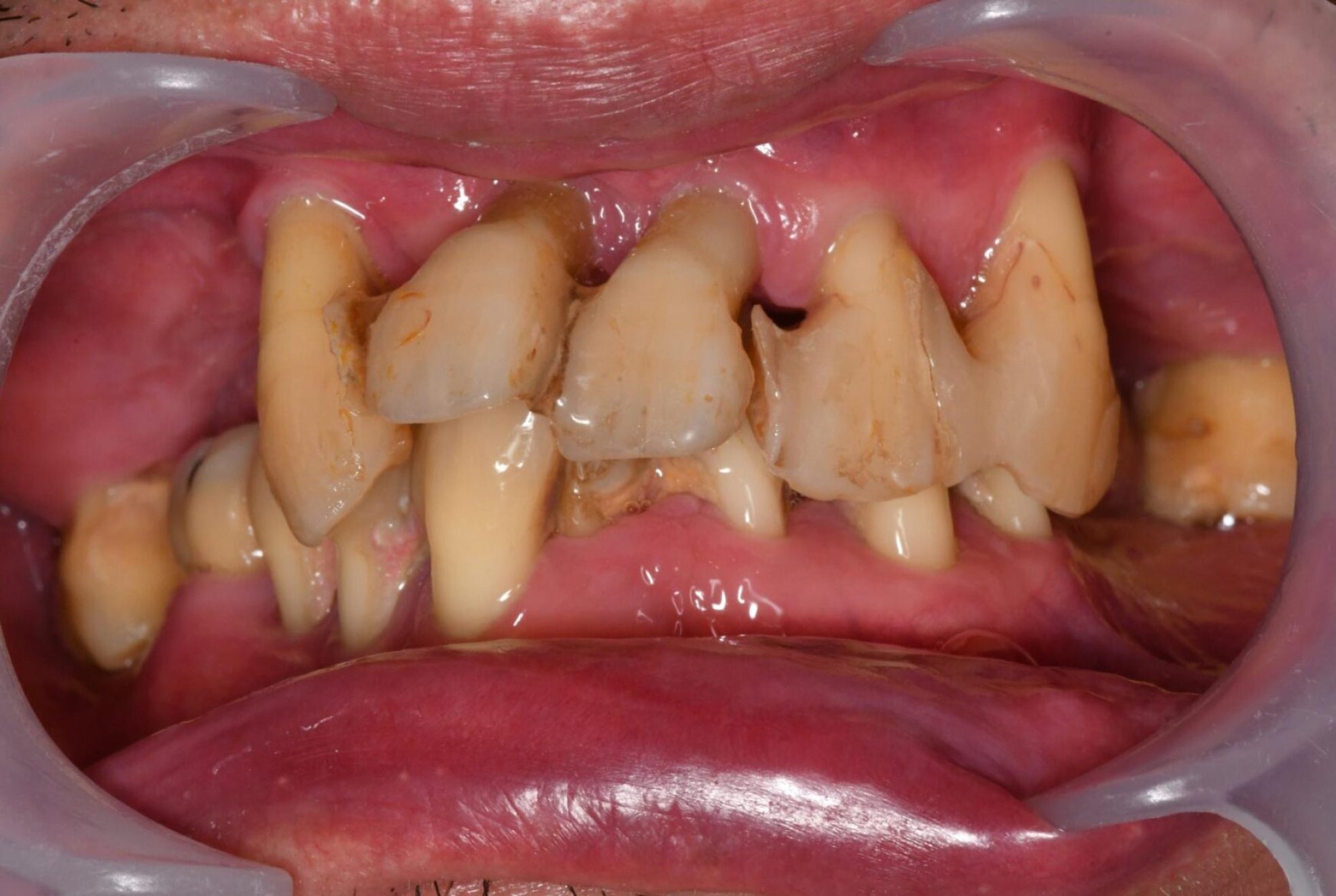
Before
After
Before
After
歯科医院にインプラントを相談しても「骨が全くない」「入れ歯しか無理」「オーバーデンチャー」と言われた患者さんのレントゲン画像です。
*ZAGA Centers(本部:スペイン)はZygomatic Implants領域における世界的なネットワークです。
その中でも当院はザイゴマインプラントの専門医として登録されています。
Naruto Otawa
大多和 徳人
わたしたちの願いは、患者様に最善の治療法を知っていただき、ご自身が思うベストな治療法を選択してもらうことです。
もう一度、あなたの素敵な笑顔を取り戻しましょう。私たちがお手伝いします。
九州大学歯学部卒業
九州大学大学院
顔面口腔外科卒業
大分の歯科医院へ出向
学位論文 総長賞受賞
テーマ: 3Dプリンターによる三次元骨再生
このころにAll-on-4やザイゴマインプラントについて学び始める
出向後、九州大学退職
おおたわ歯科医院にて勤務
国際特許取得
おおたわ歯科医院院長就任
ALLON4 ZYGOMA CLINIC設立
主題: All-on-4 のための三次元
スキャンボディの開発
All-on-4手術開始する
お見積り・治療内容にご納得いただけましたら術前検査を行います
印象採得 印象採得は歯の型取りのことです。歯の型取りにより、患者さんの歯列の幅と奥行きを確認し、手術当日に入る仮歯を制作していきます。
顔写真・口腔内撮影 手術前の口腔状態と顔全体に対する歪みを客観的な資料として残します。All-on-4 では12本分の歯と歯肉のブリッジが1日で全て固定されます。
血圧検査等
血圧検査のほかに、血液検査・肺活量検査・心電図測定を
行い、お体の状態を確認します。検査結果は当院麻酔科医より連絡を致します。
当日術前 手術前に麻酔科医が静脈鎮静麻酔を行います。この麻酔法により緊張感や恐怖心はなくなり、リラックスした状態で手術が受けられます。「痛そう」「怖そう」と思われる方も多いですが痛みを感じられない方がほとんどです。
手術開始 手術時間は片顎1時間から1時間半程両顎でも2時間から2時間半ほどとなります。
手術終了 術後ですが静脈鎮静麻酔なので意識が聡明になるのがとても早いです。小休憩後、術後のパノラマX線の撮影を行い、インプラントが適正な位置に施術できているかを確認します。その後、噛み合わせの調整などを行います。当日にお帰り頂き翌診療日に傷口の確認をさせていただきます。
オールオン4 インプラント 1,485,000円
オールオン4 アバットメント 264,000円
プロビジョナル(仮歯) 396,000円
小計 2,145,000円(税込)~
※ザイゴマインプラントの場合は別途1本385,000円(税込)かかります。
※上記だけでなく本歯の費用がかかります。
本歯①1,056,000円(税込), 本歯②1,716,000円(税込)の2つからお選び頂きます。
※手術の際に別途、静脈内鎮静法(麻酔)代と抜歯代がかかります。
※最終金額は問診後、見積もりにてご提示。
※プロビジョナル(仮歯)は、本歯よりも割れやすいため、食事制限が必要になる場合があります。
※手術後の処置費用は別途のご案内となります。
(型取り・スキャン4,400円~8,800円、試適3,300円~7,700円、仮セット1,100円~2,200円、本セット1,100円~2,200円、再診療は都度550円)
1時間程度
手術の翌診療日に経過観察のためご来院していただきます。
3時間程度
術後最短2か月※変動あり インプラントが安定するまで期間をあけ、本歯作製に向けお口の中の状態を型取り・カメラで撮影していきます。
型取りと、スキャンを別日で分けて行う方もいらっしゃいます。
2時間程度
前回の治療から中2週間後※変動あり
作製した歯がきちんと合うか確認を行います。
1時間半程度
前回の治療から中4週間後※変動あり
出来上がった歯の嚙み合わせを見て仮付けを行います。
1時間程度
前回の治療から約1週間後あけて噛み合わせに問題がなければ簡単に外れないように固定します
最短5回の来院で本歯の装着まで完了する方法もございますので患者さんのご希望に合わせて対応が可能となります。
※当院の規定による
1時間程度
本歯の装着まで完了後、半年から1年ごとのオーラルケアという定期検診が必要です。
また、2年ごとにメンテナンスを行い、インプラントに問題がないか確認を行う必要があります。

A:術後は仮歯になります。仮歯は硬い食事をとると割れてしまいます。
白ごはんやパスタ程度は問題ないです。
硬いパンやせんべい、沢庵は禁止です。本歯になれば制限はないです。
A:遠方では、東京・大阪・沖縄・離島から患者さんは来られています。
近隣に宿泊施設も多くあります。
通常のインプラント治療より通院回数・時間が少ないのが特徴です。
A:オールオン4 は通常のインプラントシステムの進化系になります。
大きな特徴としては、オールオン4 インプラントは通常のインプラントより
深いポジションに埋入されるため感染に強くなります。
A:オールオン4 オーラルケアという専用の定期検診が必要です。
歯科衛生士により、歯科用の回転器具を用いてクリーニングを
していきます。3ヶ月〜半年に1回くらいが目安です。