オールオン4ザイゴマクリニック

『インプラント 

 を断られた方へ』

諦めるのはまだ早い。

「歯がボロボロ」も

「難症例」もご相談ください。

−1回で固定式の歯が入る−

koutaku2
koutaku1

他院で断られた難症例ご相談ください

『骨がないからインプラントは無理』

と宣告された方へ

顎の骨がなくても

“頬骨(ザイゴマ)”

があります。

オールオン4ザイゴマ考案者が、あなたの『噛める人生』を1日で取り戻します。

他院でこんな風に

言われませんでしたか?

「骨を作る手術に2年もかかる」と言われ、断念した

顎の骨が溶けていて、
「インプラントが打てない」

「もう総入れ歯にするしかない」と
宣告された

「大学病院も難しい」と断られた

多くの歯科医院では、顎の骨がない=インプラント不可能、が常識です。 しかし、当院において、それは『不可能』ではありません。

その技術を求め、 北は北海道から南は沖縄、そして海を越えた海外からも 人生の再建を願う患者様が、日々ご来院されています。

処置中

オールオン4ザイゴマとは

顎の骨がなくても、

『頬骨(ザイゴマ)』がある

ザイゴマインプラントとは、顎の骨ではなく、頬骨(ザイゴマ)にインプラントを埋め込む特殊技術です。これにより、骨移植などの辛い手術なしで、その日のうちに固定式の歯を入れることが可能になります。

オールオン4
ザイゴマ0
オールオン4
ザイゴマ2
オールオン4
ザイゴマ4
ナルト先生

 オールオン4ザイゴマ考案者

大多和 徳人(ナルト)

Naruto Otawa

DDS,PhD

私は既存の治療法を学ぶだけでなく、より安全で確実な『オールオン4ザイゴマ』という術式を自ら開発しました。誰よりもこの治療を知り尽くしているからこそ、他院で断られた難症例も引き受けることができます。

治療を諦めないでください。わたしたちなら解決できます。

手術実績
(ザイゴマインプラント)
0
臨床成功率
(2026年1月現在)
0 %

わたしたちからの提案

オールオン4 ザイゴマ

All-on-4 ( オールオン4 )
治療モニター (1)

All-on-4
最短40分の手術で
悩みが過去のものに

※費用:4,870,000円*モニター価格

※期間:半年

※リスク:出血、痛み、腫れ、しびれ

どんな状態の歯でも

自然に噛める状態に

1日で生まれ変われる

治療モニター

従来のインプラント治療法との大きな違いは、4本のインプラントだけで12本の人工歯を支えるということです。また、骨移植や骨造成手術を必要としません。これはつまり、

  • 体への負担が少ない
  • 治療費を抑えられる

ということを意味しています。

そして、オールオン4の最も画期的な点は、

  • 1日で固定式の歯に

になることです。つまり、前歯がぐらぐらでも、歯がボロボロでも、手術当日に仮歯が入り、噛めるようになるということです。

おおたわ歯科医院が選ばれる4つの理由

Why are we chosen?

1. 難症例でも対応可能

クワッドザイゴマインプラント

他院で納得がいかない治療を勧められたり、治療自体を断られたりしても諦めないでください。

  • 「入れ歯しかできない」
  • 「インプラントで2年かかる」
  • 「オールオン4はできない」

このように他院で言われた患者様が当院に来院されることも少なくありません。当院は4本のザイゴマインプラントからなるオールオン4ザイゴマ4 まで施術可能です。当院では、どんな難症例であっても治療の提案をお断りすることはありません。必ずもう一度笑顔を取り戻せます。一緒に頑張りましょう。

≫オールオン4手術を希望している・

治療できないといわれた方はこちら
(※外部リンク インプラントの歯科ブログ)

2. 審美性・機能性の追求

オールオンフォー 設計

当院ではしっかり噛めるという機能性はもちろんのこと、おおたわ歯科医院では審美性 ( 見た目の美しさ ) も徹底的にこだわり設計します。

装着される歯は、全て3Dデータ化され、最新のCADソフトウェアにて0.1μm単位の精密さで設計し、最新の5軸切削加工機で製作されます。

オールオン4 特許

※本特許による治療は当院で可能

また、独自特許のフェイシャルスキャンボディにより、患者様ごとの顔に対して、より整合性の高い本歯の提供が可能となります。(特許6437699号

3. セカンドオピニオン対応

インプラントを失敗された…

治療計画が二転三転する…

現在の治療に納得がいかない…

インプラント 失敗

これ以上の治療がないと
決めつけていませんか?

治療が上手くいかずに
自分を責めていませんか?

セカンドオピニオン対応

※他院のトラブルケースも対応可能です。

当院では、他院のインプラントのトラブルでも治療可能です。それがインプラントの治療途中でも対応可能です。多くの方がセカンドオピニオンで問い合わせをされています。

4. 全国から手術を受け入れ

福岡 オールオン4

当院は福岡県福岡市にある歯科医院ですが、九州はもちろん、東京、大阪、沖縄、離島や海外にお住まいの方からもお越しいただいております。福岡市の市街地でかつ、駅から徒歩1分の立地です。

  • 福岡空港から
     車で10~15分
     電車で30分
  • 博多駅から
     車で5~10分
     電車で25分
オールオン4 旅費補助

まずは初診でご来院いただくことをおすすめしておりますが、来院前に

電話 092-521-6626で相談」
メール問い合わせで相談」
LINE (友達になる)で相談」
無料オンライン診療で相談」

もできます。ちょっとしたことも質問することができるので、お気軽にお問合せください。

わたしたちについて

About us

おおたわ歯科医院

LP (1200 x 800 px) (1)

おおたわ歯科医院は『オールオン4 』『ザイゴマインプラント』を専門としたクリニックです。福岡市にてインプラント治療を中心に歯科治療を通じて地域社会に貢献をしています。

当院の最大の特徴

Most Features

ザイゴマインプラントとは、All-on-4 ( オールオンフォー )が難しいほど上顎骨が極度に痩せている方に対して頬骨(ザイゴマ)にインプラント埋入をする治療法です。

Quad Zygoma EZ4

ザイゴマインプラントは上顎のオールオンフォーを補完します。つまり、骨が全くない方でも問題なくできるインプラント治療になります。

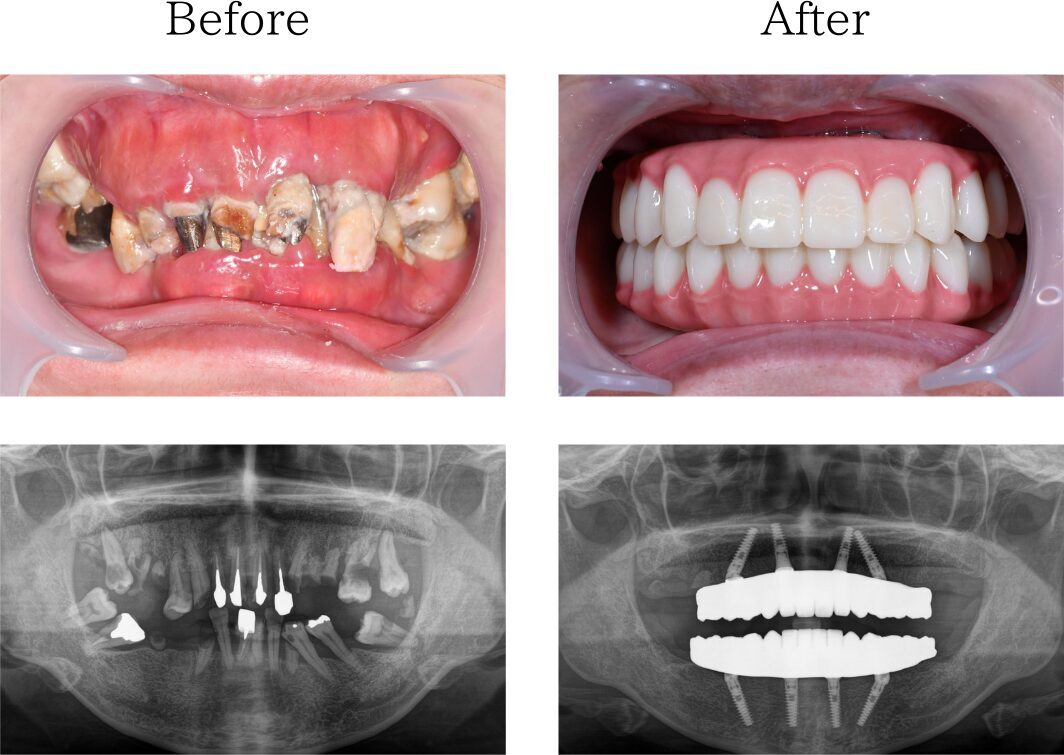
歯がボロボロ

歯科医院にインプラントを相談しても「骨が全くない」「入れ歯しか無理」「オーバーデンチャー」と言われた患者さんのレントゲン画像です。骨は全くありません。

オールオン4ザイゴマインプラント

日本全国に電話して探して、やっと当院にたどり着いた患者さんもいれば、歯科関係のご友人の紹介でいらっしゃった方もいます。ザイゴマインプラントだけで完成させるオールオン4はあなたの悩みを解決します。

クワッド ザイゴマ

※費用:4,960,000円*モニター価格

※期間:半年

※既往・リスク:高血圧症・出血、痛み、腫れ、しびれ

重度歯周病からの解放
All-on-4
ザイゴマインプラント

4本のザイゴマインプラントは重度歯周病からの完全な解放を意味します。つまり、あなたの上顎インプラントブリッジは歯周病にならないのです。

症例 / 体験談

Case / Experience

1kiritori

※上下顎オールオン4ザイゴマ

※費用:4,925,000円*モニター価格

※期間:半年

※リスク:出血、痛み、腫れ、しびれ

「入れ歯を卒業し、固定式の歯にしたい」

60代 男性(佐賀)の場合

上下入れ歯を使用していましたが取り外しが面倒なうえ、入れ歯自体も合わず痛みがあり満足に食事もできなかったです。何度通っても治らない治療にも嫌気がさし、全部一気にできる治療はないかと調べたところ、一日で固定式の歯が入るというおおたわ歯科医院のホームページを見て自分が理想としている治療だと思い、相談しました。

難症例 インプラント

※治療内容:上下顎オールオン4

※費用:3,760,000円*モニター価格

※期間:半年

※リスク:出血、痛み、腫れ、しびれ

「苦手な人付き合いを克服したい」

40代 女性 (大分) の場合

私は人付き合いが苦手で、歯医者に行くにしても何か思われたらどうしようと思い、治療に通えませんでした。そのせいで虫歯をそのままにして歯が溶けたり、歯が抜けてもそのままにしていたらボロボロになり、差し歯をしてもすぐ外れたりしてどの治療が合うのか分かりませんでした。ネットで調べていたところオールオン4という治療があることを知り、遠方ですがHPに記載されていた大多和先生の言葉を信じ福岡での治療を決めました。

3kiritori

※治療内容:上下顎オールオン4ザイゴマ4本

※費用:4,795,000円*モニター価格

※期間:半年

※リスク:出血、痛み、腫れ、しびれ

「他院のインプラント治療に不信感」

70代 男性 (福岡) の場合

他院で入れたインプラントは一年くらいで悪くなり抜きました。その後他のインプラントも揺れ始め、その歯科医院に不信感を抱くようになり、最善の治療はないかとネットで調べていたところ、おおたわ歯科医院を見つけました。YouTubeやブログを読んでいて、大多和先生になら任せられると思い相談し、オールオン4の手術を決めました。

4kiritori

※治療内容:上顎オールオン4ザイゴマ2本

下顎右下5,6左下5,6インプラント

※費用:2,859,000円*モニター価格

※期間:半年

※リスク:出血、痛み、腫れ、しびれ

「悩みを一緒に解決したい」

50代 女性 (福岡) の場合

上の歯のブリッジがかたつき始め、食べ物が噛めなくなってきました。見た目も長年気になっていて、コロナ禍のマスク生活で口元を見られることは少なくなりましたが、それと同時に人前で口元を見せることに抵抗が生まれました。ブリッジのかたつきやかみ合わせ、長年悩んできた見た目も一緒にできる治療が良いと思いオールオン4手術を決意しました。

4本のインプラントで、
あなたの口元を美しく。

インプラントは4本だけ

院長紹介

Dental Director

All-on-4専門医 おおたわ

わたしたちの願いは、患者様に最善の治療法を知っていただき、ご自身が思うベストな治療法を選択してもらうことです。

もう一度、あなたの素敵な笑顔を取り戻しましょう。

わたしたちがお手伝いします。

大多和 徳人

経歴


九州大学歯学部卒業
九州大学大学院歯顔面口腔外科卒業
九州大学病院デンタルマキシロフェイシャルセンター勤務
大分岡病院顎顔面外科マキシロフェイシャルユニット勤務
医療法人香和会おおたわ歯科医院勤務
現在に至る

所属学会


日本口腔外科学会所属 認定医
顎顔面インプラント学会所属
ICOI (国際インプラント学会) 所属 認定医
ザイゴマインプラント協会所属 理事
Study Group of the Edentulous Solutions所属 理事

専門


All-on-4 ザイゴマインプラント
九州大学総長賞受賞
(テーマ: 3Dプリンターによる三次元骨再生)
博士号取得
(テーマ: カスタムメイドチタンメッシュでの骨再生)
国際特許取得
(主題: All-on-4 のための三次元スキャンボディの開発)
All-on-4 インプラントブリッジの最新設計論文発表
(主題:顔面駆動スキャンボディを用いた All-on-4 の可能性)

思い立ったらまず相談

まずはお気軽にお問い合わせください。

オンライン無料相談も行っています。

 治療費の目安はどのくらい?

 高齢や持病があってもできる?

 治療後の定期検診は必要?

arrowdown100

最善な治療計画と見積もりを提案します

初診料 3,300円

口腔内診察

パノラマX線撮影

CTスキャン

医師との面談

治療計画とお見積りご提示後、ご納得いただけない場合は転院されても構いません。

最善の治療方法を一緒にお探しします。

arrowdown100

手術日の確定と術前検査

allon4 検査

手術日が確定後、術前検査をします。手術前の口腔状態と顔全体に対する歪みを客観的な資料として残します。All-on-4 では12本分の歯と歯肉のブリッジが1日で全て固定されます。つまり、ずれてしまった歪みが補正されるため重要な検査項目になります。印象採得は歯の型取りのことです。歯がぐらぐらで取れてしまいそうな場合は、口腔内スキャナ (Intra Oral Scanner)と呼ばれるカメラで印象採得を行います。口腔内スキャナは歯を触らずに撮影することで歯型の3Dデータ収集をするので、歯が抜ける心配はないです。歯の型取りにより、患者さんの歯列の幅と奥行きを確認し、手術当日に入る仮歯を制作していきます。

arrowdown100

手術日当日 術前

allon4 手術

この患者さんの術前のパノラマX線画像ですが、昔ボクシングをされていたそうで上顎の歯をほぼ全てなくしていました。どこの歯科医院にいっても「上顎の骨がないから入れ歯しか施術できない」と言われたそうです。まだ若かったこともあり、入れ歯自体を受け入れることができなかったそうです。手術前に麻酔専門の医師が静脈鎮静麻酔を行います。この麻酔法により緊張感や恐怖心はなくなり、鎮静剤の点滴を行いながらリラックスした状態で手術が受けられます。しかも、入院の必要はなく、処置が終了すればその日に帰宅できます。

arrowdown100

手術日当日 術中

allon4 検査

手術開始です。患者さんからすると「怖い」「痛そう」と感じると思いますが、実際は静脈鎮静麻酔によりリラックスしているのと併せて、局所麻酔薬も使用するので痛みは感じないです。この患者さんの治療計画は
上顎:Extra Maxillo Zygomatic All-on-4 ( EZ4 )
下顎:All-on-4 ( オールオン4 ) でした。
上顎は4本だけのザイゴマインプラントで オールオン4 を完成させます。下顎は4本のインプラントを角度をつけてバランスよく配置します。
この手術計画だと通常は4時間くらいの手術となります。

arrowdown100

手術日当日 術後

allon4 ザイゴマインプラント

術後ですが静脈鎮静麻酔なので意識が聡明になるのがとても早いです。小休憩後に足取りがしっかりしているのを確認して術後のパノラマX線画像を撮影します。インプラントが適正な位置に施術できているかを確認します。術前が上下、左右ともに噛み合わせのバランスが崩れていましたので、出来るだけ噛み合わせが自然なポジションになるようにインプラントを配置しました。オールオン4インプラントやザイゴマインプラントの全てを45N・m以上の高トルクで締結されています。

arrowdown100

手術日当日 帰宅前

allon4 ビフォーアフター

術後帰宅前には歪んでしまっていた口元も、「1日でここまで変わります」。この歯はとてもきれいで自然に見えると思いますが、まだ仮歯(プロビジョナルレストレーション)になります。この方の場合、これから3か月後を目途に本歯(ファイナルレストレーション)に切り替えていきます。より強く美しい歯になっていきます。本歯は自身の歯のイメージ(色調、形状、大きさ、並びなど)を反映することが可能となります。

※治療内容:上下顎オールオン4ザイゴマ4本

※費用:4,620,000円*モニター価格

※期間:半年

※リスク:出血、痛み、腫れ、しびれ

治療費(片顎)の一例

オールオン4 インプラント 1,485,000円

オールオン4 アバットメント 264,000円

プロビジョナル(仮歯) 396,000円

小計(税込) 2,145,000円~

※ザイゴマインプラントの場合は別途1本385,000円(税込)かかります。

※上記だけでなく本歯の費用がかかります。

本歯①924,000円(税込)、本歯②1,056,000円(税込)、本歯③1,716,000(税込)の3つからお選び頂きます。

※手術の際に別途、静脈内鎮静法(麻酔)代と抜歯代がかかります。

※最終金額は問診後、見積もりにてご提示。

※プロビジョナル(仮歯)は、本歯よりも割れやすいため、食事制限が必要になる場合があります。

オールオン4 支払い方法

デンタルローンの目安

月々 15,759円

※総額214.5万円で計算(195万+消費税)

※最終お支払い額15,639円~・全180回払い・実質年率3.9%

※契約会社の手数料の変更に伴い一部上下あり

よくある質問

オールオン4 は通常のインプラントシステムの進化系になります。大きな特徴としては、オールオン4 インプラントは通常のインプラントより深いポジションに埋入されるため感染に強くなります。

術後は仮歯になります。仮歯は硬い食事をとると割れてしまいます。白ごはんやパスタ程度は問題ないです。硬いパンやせんべい、沢庵は禁止です。本歯になれば制限はないです。

モノリシックジルコニアブリッジ、アクリルブリッジ、ジルコニアフレームセラミックブリッジが推奨です。他に、硬質レジンブリッジ、チタンフレームセラミックブリッジもあります。

オールオン4 オーラルケアという専用の定期検診が必要です。専門の歯科衛生士により、歯科用の回転器具を用いてクリーニングをしていきます。3ヶ月〜半年に1回くらいが目安です。

遠方では、東京・大阪・沖縄・離島から患者さんは来られています。近隣に宿泊施設も多くあります。通常のインプラント治療より通院回数・時間が少ないのが特徴です。

どんな質問でもお問い合わせください。
無料オンライン診療の受診も可能です。

 月-金      09:00 – 18:30

  土       09:00 – 18:00

1日で噛めるように

「歯がボロボロ」でも「前歯がぐらぐら」でも、『オールオン4』なら施術日に噛める様になります。

メール

電話

LINE

(新アカウント)