4本のインプラント
オールオン4 はインプラントの機能を最大化し体の負担を最小限にします。
1日で固定式の歯に
上下でも2時間程度で手術は終わり、その日に固定式の歯まで装着されます。
ALL ON 4
虫歯・歯周病の根治
お口の中の環境が劇的に改善します。
従来治療より低価格
オールオン4 は全体的な治療として洗練されており、コストが抑えられます。
オールオン4 はインプラントの機能を最大化し体の負担を最小限にします。
上下でも2時間程度で手術は終わり、その日に固定式の歯まで装着されます。
お口の中の環境が劇的に改善します。
オールオン4 は全体的な治療として洗練されており、コストが抑えられます。
ザイゴマインプラント第一人者であるナルト先生がTV出演!
Youtubeにて地上波TVフルバージョンが遂に解禁!
season5は、ロサンゼルスからナルト先生を頼り来院した女性の物語
過去のドキュメンタリーはYoutubeにて配信中
オールオン4やザイゴマインプラントは歯がボロボロや重度歯周病の方でも1日で固定式の歯をいれることが可能です。治療を諦めないでください。1日で悩みは過去のものになります。
DDS, PhD
ALLON4 ZYGOMA CLINIC
ZAGA Center Fukuoka
ご縁のある全ての患者様を幸せにしたい。
その想いで診療しています。
オールオン4 に特化した専門医院
ZAGA認定のオールオン4 ザイゴマインプラント専門医院です。患者様の心や背景に寄り添い治療提案と最善の技術を尽くします。
オールオン4専属スタッフが在籍
オールオンフォーの専門知識を生かす医療体制に取り組んでいます。スタッフ全員がチーム一丸となり一人の患者様を診てまいります。
先進の医療機器による治療
人間工学に基づいたデンタルユニットなど様々な先進の医療機器を用いて、患者様に最適な治療ができるよう心掛けています。
治療に専念できる空間を提供
患者様が安心して手術に臨み、術後にゆっくり休憩できるリカバリールームやご家族用の待合室をご用意しております。






当院では、患者様の歯の悩みを解決するため、症例に合わせて丁寧な説明を行います。また、どのような難症例であっても対応いたします。
当院は、患者様に支持される取り組みがあります。
当院は症例数1000件を優に超える治療実績があります。
※ザイゴマインプラント1927件(2009年4月~2024年12月)
骨が全く無い方や他院でインプラント治療ができないと断られた方でも対応致します。セカンドオピニオンも承っています。
装着される歯は全て3Dデータ化され最新のCADソフトウェアにて0.1μm単位で設計されます。あなたの『完璧な歯』の追求が可能です。
術前にオールオン4の手術内容や全体像をしっかり説明して治療計画を設定します。治療計画は患者様と共に立案されます。
患者様に安心して治療を受けて頂くため、オールオン4に関わる宿泊費や旅費の負担を軽減します(※一部適応条件あり)。
当院ではインプラント体の10年間保証など各種保証制度を準備しています。私たちは患者様と長い年月を見据えた治療を行っています。
All-on-4に特化した専門医院だからこそできる医療を実感して下さい。
ザイゴマインプラントとは、上顎の骨が極度に痩せている方に対して、頬骨(ザイゴマ)にインプラント埋入をする治療法です。ザイゴマインプラントは上顎のオールオン4 の治療オプションです。上顎骨が全く足りない方でも可能な特殊インプラント治療になります。
ザイゴマインプラントは上顎のオールオン4 の治療オプションです。上顎骨が全く足りない方でも可能な特殊インプラント治療になります。
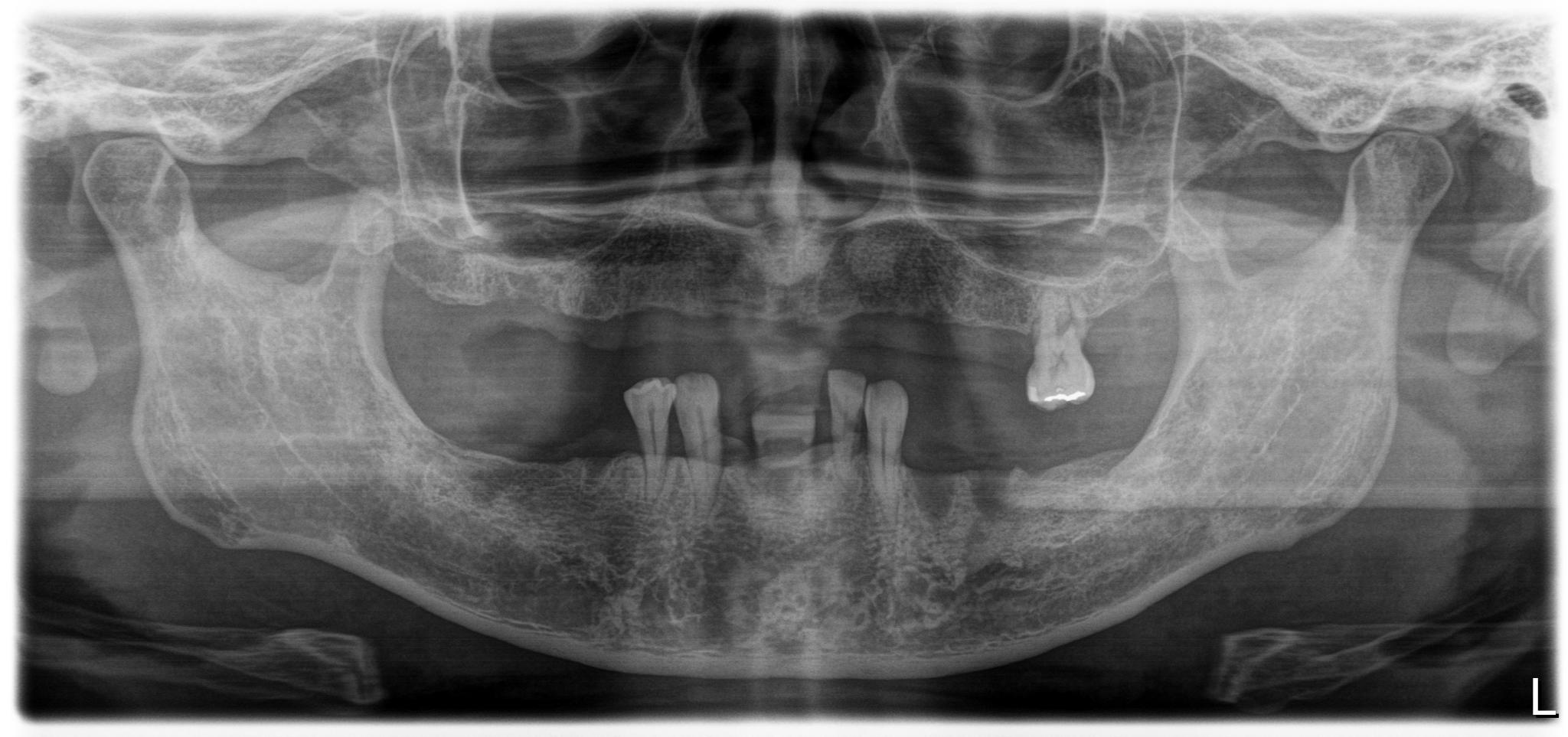
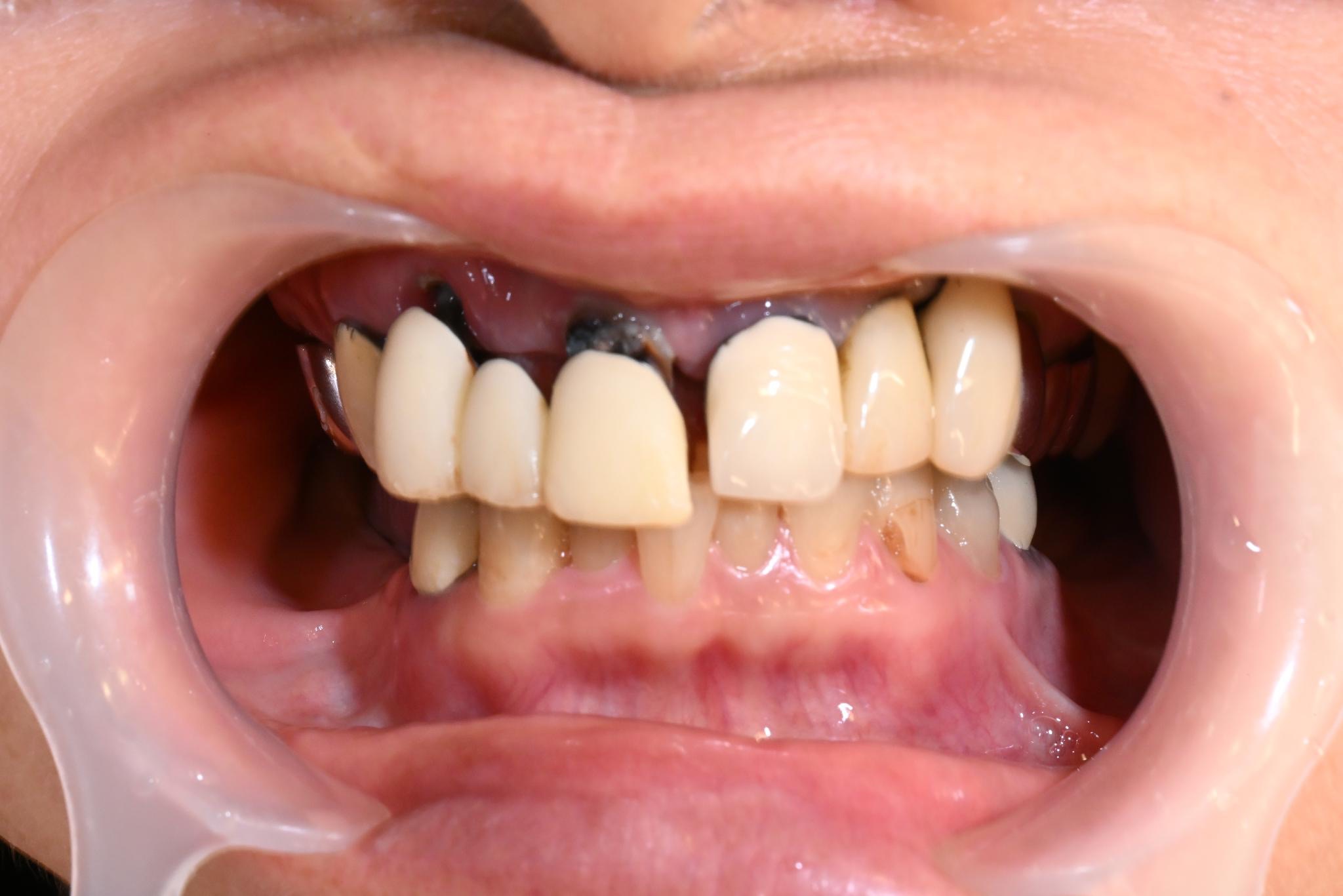
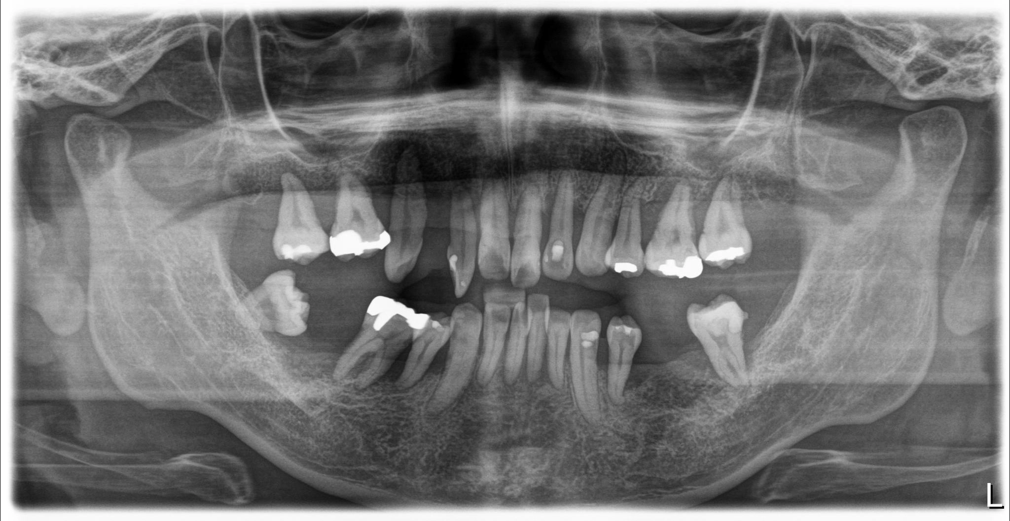
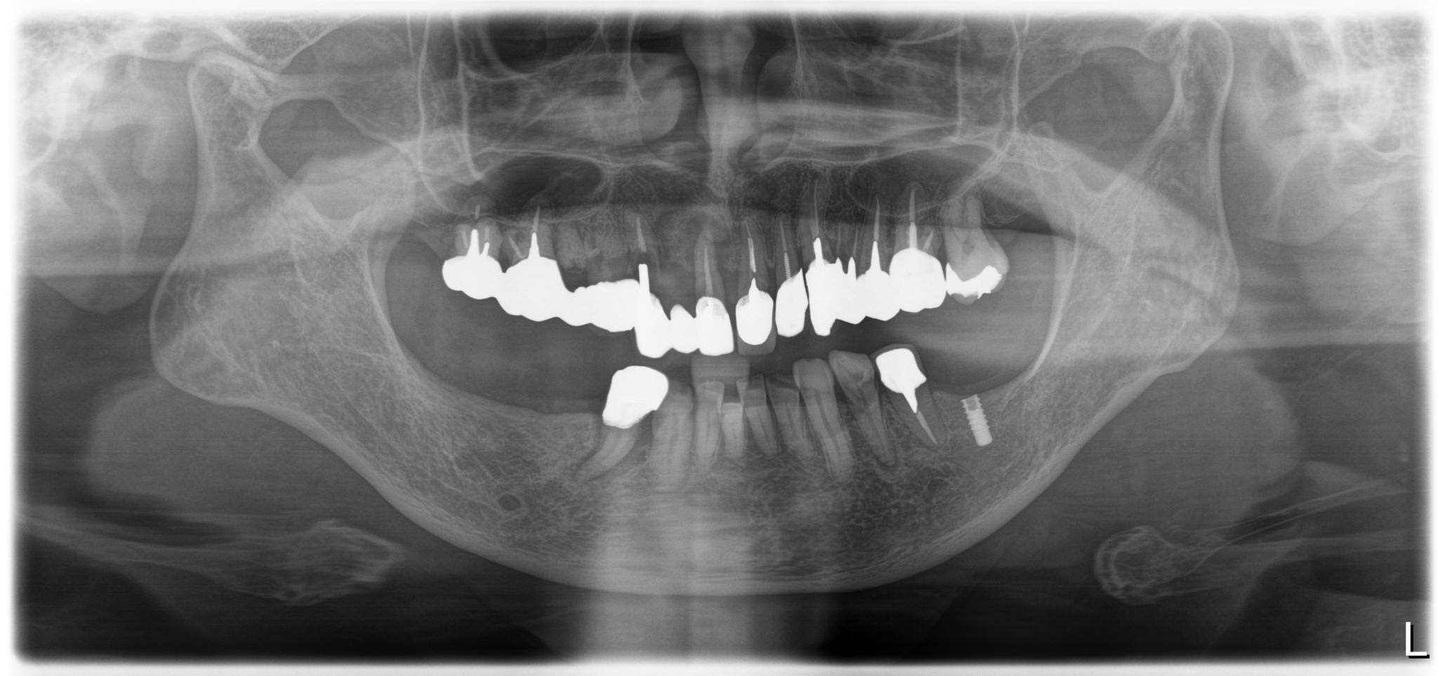
【患者様の術前レントゲン画像】
重度歯周病で歯がほとんどない。上顎骨は全く足りない。
歯科医院にインプラントを相談しても「骨が全くない」「入れ歯しか無理」「オーバーデンチャー」と言われた患者さんのレントゲン画像です。骨が全くありません。
※費用:4,960,000円*モニター価格
※期間:半年
※既往・リスク:高血圧症・出血、痛み、腫れ、しびれ
日本全国に電話して探してやっと当院にたどり着いた患者さんもいれば、歯科関係のご友人の紹介でいらっしゃった方もいます。ザイゴマインプラントだけで完成させるオールオン4はあなたの悩みを解決します。
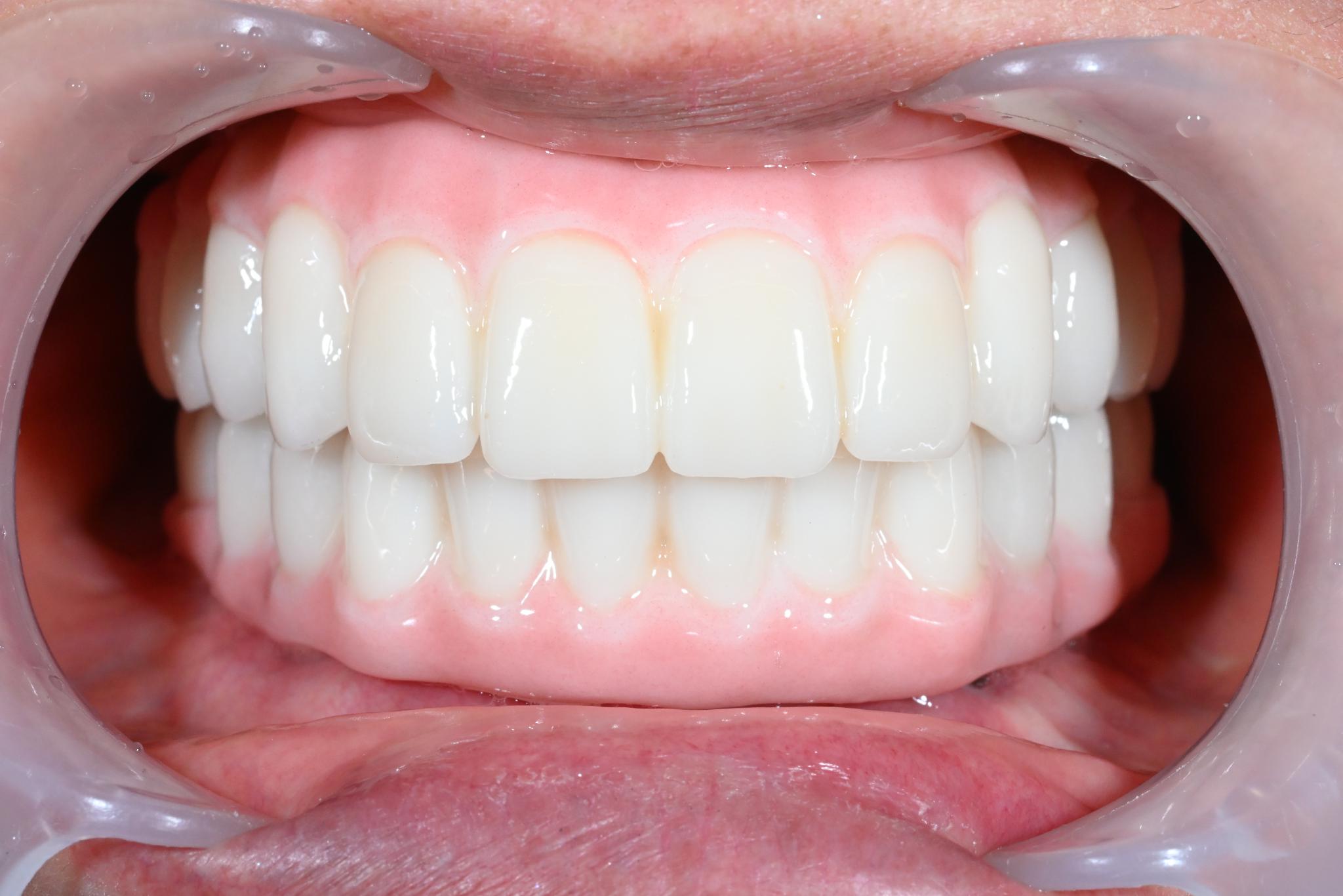
4本のザイゴマインプラントは重度歯周病からの解放を意味します。
【患者様の術後レントゲン画像】
4本のザイゴマインプラントで歯周病から解放へ
執刀医:Dr.大多和
内容:上下顎オールオン4ザイゴマインプラント2本
費用:5,594,000円※モニター価格
期間:半年
リスク:出血・腫れ・しびれ・痛み
患者様の声
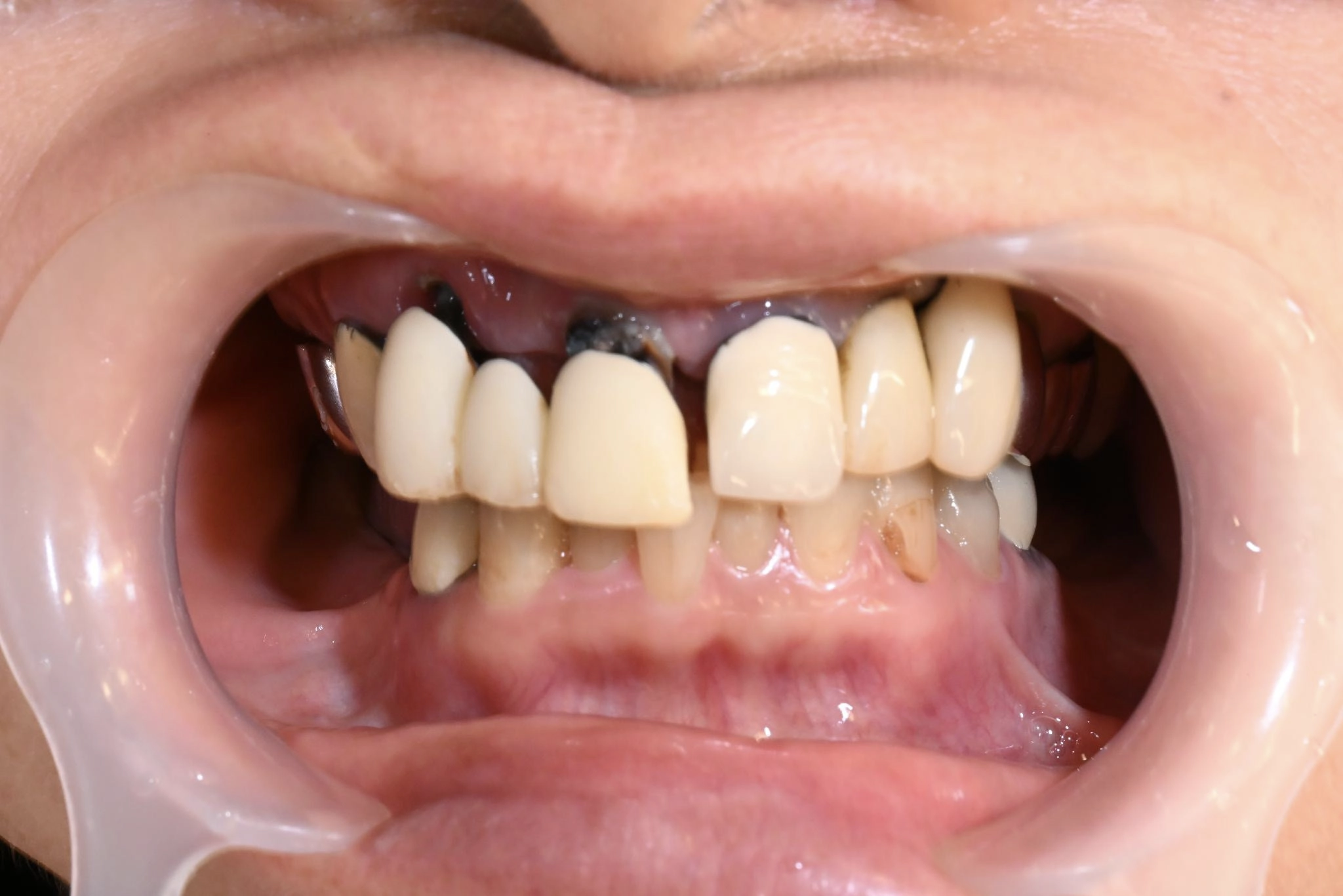
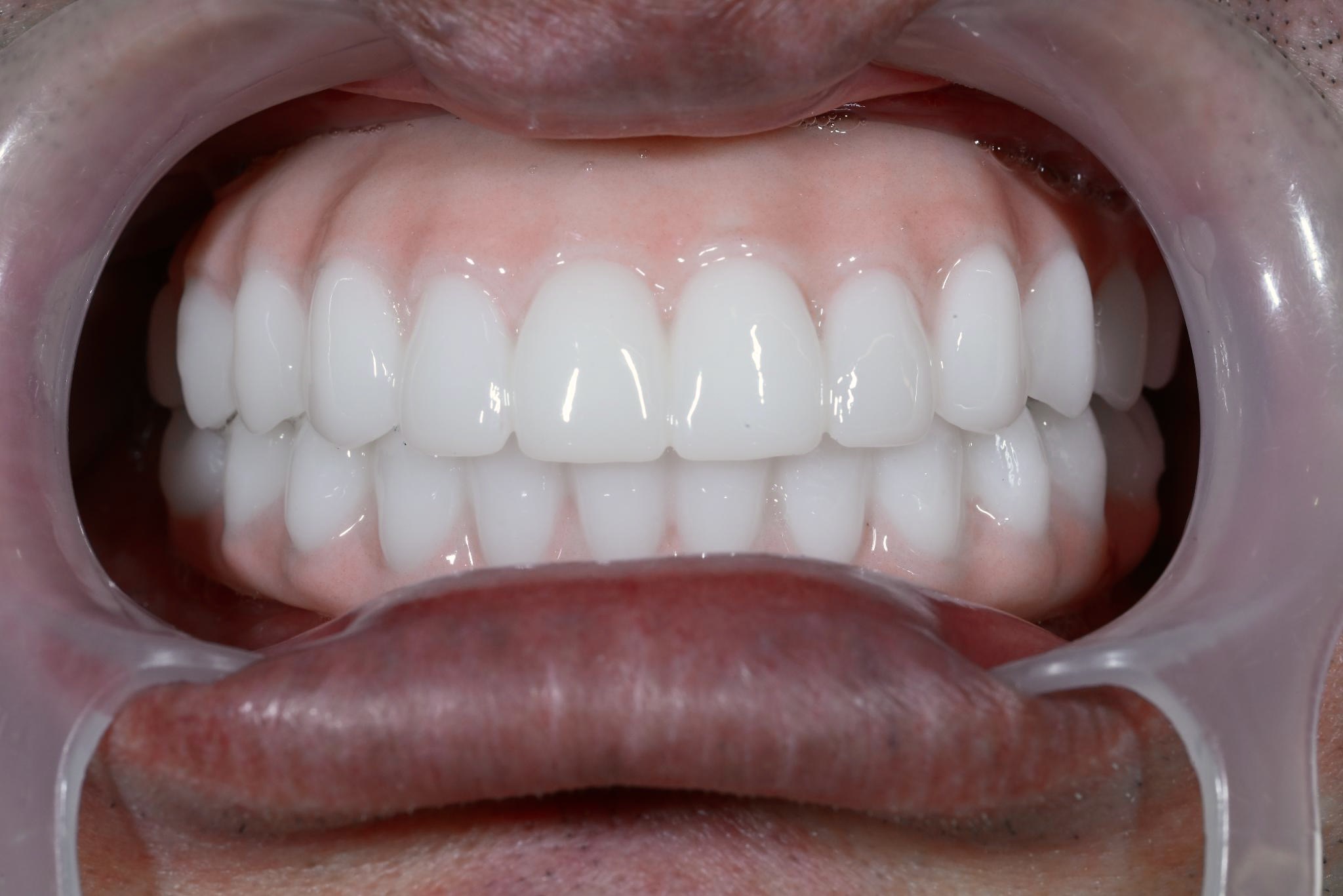
以前より歯がボロボロで奥歯は全て無くなり、あまり歯が残っていなかった。50代で上下顎の入れ歯を装着するのにすこし違和感を覚えたが、他院では入れ歯の治療法のみ案内を受けていた為、泣く泣く入れ歯を装着。入れ歯を装着するものの自分の歯とは違い、すぐ入れ歯が外れたり、しっかり食事することも出来なかった。大好きな食事を楽しめずに過ごしていた。これから長い人生、ずっと入れ歯と向き合うのは嫌だと思い、入れ歯以外の治療法がないかネットで調べたところ福岡にオールオン4で有名な歯科医院があることを知り治療を受けることにした。
執刀医:Dr.大多和
内容:上下顎オールオン4ザイゴマインプラント4本
費用:5,272,000円※モニター価格
期間:半年
リスク:出血・腫れ・しびれ・痛み
患者様の声
他院で制作した上顎の総入れ歯を使用していたが、かみ合わせが悪くしっかり噛むことが出来なかった。入れ歯を再作製するか違う治療をするか迷っていたところ、家族の紹介でおおたわ歯科医院を紹介された。長い間入れ歯を使用していたため、下顎の前歯は上方に突きあがり嚙み合わせが悪く、まともに食事が出来なかった。院長に口腔内の悩みを相談したところオールオン4の治療を紹介され治療計画をひとつひとつ確認をした。上顎骨が少ないため、4本のザイゴマインプラントで施術するオールオン4の提案を受けた。口腔内の状況が改善されるならと、その提案を受けることにした。
執刀医:Dr.大多和
内容:上顎オールオン4ザイゴマインプラント4本
費用:3,719,000円※モニター価格
期間:半年
リスク:出血・腫れ・しびれ・痛み
患者様の声
私が抱えていた口腔内の問題がたった数時間の手術で解決した。私は、数年前から嚢胞で頭痛や鼻水に悩んでいた。また、前歯の差し歯がとれたため以前から通っていた歯科医院に相談すると、『ここでは嚢胞と前歯の治療を一気に治療をすることはできない』と断られた。大多和院長に相談したところ、オールオン4ではたったの1日で嚢胞の摘出と上の歯が入るとご案内頂いた。しかし、上の骨が薄いのでザイゴマインプラントが必須としっかり説明も受けた。
執刀医:Dr.大多和
内容:上下顎オールオン4ザイゴマインプラント4本
費用:4,850,000円※モニター価格
期間:半年
リスク:出血・腫れ・しびれ・痛み
患者様の声
歯が無いことが一番の悩みだった。残っている歯がぐらつき固いものはずっと食べれていない状態で過ごしていた。全体的に歯の治療をしたいと思っていたところ、インスタグラムでALLON4 ZYGOMA CLINICとオールオン4を知った。インスタグラムで問い合わせをしたところ、電話相談から初診時までスタッフのみなさんが丁寧に対応して頂きおおたわ歯科医院で治療をしようと決意した。
執刀医:Dr.大多和
内容:上下顎オールオン4ザイゴマインプラント4本
費用:5,864,000円※モニター価格
期間:半年
リスク:出血・腫れ・しびれ・痛み
患者様の声
上と下の入れ歯不適合を主訴として沖縄県から来院。地元の歯医者では『入れ歯の治療しかできない』と言われ、半ば諦めていた。そんな中、知人にオールオン4なら骨が無くてもインプラント治療ができるという話を聞いた。オールオン4についてネットで調べると、おおたわ歯科医院のブログを見つけた。上顎は長年入れ歯を使っていた為、骨が少なくインプラント治療はできないと思っていたが、ブログの中で骨が無くてもザイゴマインプラントという治療法なら施術可能と書いていたので、メールで無料相談した。
*既往・リスク:合併症のリスクを低減するため当院ではかかりつけ医との連携体制をしっかりと取っております。
当院は『オールオン4 』『ザイゴマインプラント』を専門としたクリニックです。福岡市にてインプラント治療を中心に歯科治療を通じて地域社会に貢献をしています。
あなたの「輝く笑顔」を取り戻しませんか?
わたしたちの願いは、患者様に最善の治療法を知っていただき、ご自身が思うベストな治療法を選択してもらうことです。
もう一度、あなたの素敵な笑顔を取り戻しましょう。
わたしたちがお手伝いします。
大多和 徳人
経歴
九州大学歯学部卒業
九州大学大学院顔面口腔外科卒業
九州大学病院デンタルマキシロフェイシャルセンター勤務
大分岡病院顎顔面外科マキシロフェイシャルユニット勤務
医療法人香和会おおたわ歯科医院勤務
ZAGAセンター 福岡 センター長
現在に至る
所属学会
日本口腔外科学会所属 認定医
顎顔面インプラント学会所属
ICOI (国際インプラント学会) 所属 認定医
All-on-4 ザイゴマインプラント協会所属 理事
Study Group of the Edentulous Solutions所属 理事
専門
All-on-4ザイゴマインプラント
九州大学総長賞受賞
(テーマ: 3Dプリンターによる三次元骨再生)
博士号取得
(テーマ: カスタムメイドチタンメッシュでの骨再生)
国際特許取得
(主題: All-on-4 のための三次元スキャンボディの開発)
All-on-4 インプラントブリッジの最新設計論文発表
(主題:顔面駆動スキャンボディを用いた All-on-4 の可能性)
オールオン4治療において患者様とわたしたちの信頼関係が重要になります。
当院では、治療計画策定に十分な時間を取り、しっかりとお話をお伺いします。

まず患者様のお話を伺います。ご希望の治療法、口腔内の不安なこと、治療後に歯が良くなったら楽しみたいことなど、色々お話をお聞かせください。プライバシーを配慮したリラックスできるカウンセリングルームにて、ゆっくりと時間を取っております。

当院は、オールオン4 の術前に精密な術前検査を行います。現状の口腔内を検査した後、先進医療機器による画像検査や血液検査を行い、皆さんにとって最適かつ負担の少ない治療計画を策定します。オールオン4 なのかザイゴマインプラントを使用するかも決まります。

オールオン4の説明や手術計画について説明をいたします。「仮歯」「プロトタイプ」「本歯」と治療のゴールを明確にし、治療期間や通院回数・治療費用・複数ある治療プランの場合はそれぞれの長所短所など、きちんとご理解・ご納得いただける説明を行います。

麻酔専門の医師が静脈内鎮静法にて全身麻酔をしていきます。 点滴にて麻酔を行い、恐怖心がなくなることでリラックスした状態にて手術 が受けられます。しかも、入院の必要はなく処置が終了すればその日に帰宅できます。 ただし、車で来院して手術を受けられる場合はホテルに宿泊もしくは代行運転をお願いしています。

徹底的に衛生管理、滅菌対応がなされた専用オペ室で治療を始めていきます。 毎回、治療ごとに治療内容をきちんとお伝えしております。

麻酔が覚めたら、上下ともきれいな歯が装着されています。術後すぐは頭が すっきりしないので1時間ほど休憩していただきます。それでも皆様、自然と 笑顔がこぼれる瞬間になります。次に、レントゲン写真を撮影しインプラントが 適正な位置に施術できているかを確認していきます。また、噛み合わせの調整も行います。

徹底的に衛生管理、滅菌対応がなされた専用オペ室で治療を始めていきます。 毎回、治療ごとに治療内容をきちんとお伝えしております。

徹底的に衛生管理、滅菌対応がなされた専用オペ室で治療を始めていきます。 毎回、治療ごとに治療内容をきちんとお伝えしております。
初診・相談
オールオン4の手術
抜糸・本歯型取り
本歯噛み合わせチェック
本歯セット
メンテナンス
治療費(片顎)1例
オールオン4 インプラント 1,485,000円
オールオン4 アバットメント 264,000円
プロビジョナル(仮歯) 396,000円
小計 2,145,000円(税込)~
※ザイゴマインプラントの場合は別途1本385,000円(税込)かかります。
※上記だけでなく本歯の費用がかかります。
本歯①924,000円(税込), 本歯②1,056,000円(税込), 本歯③1,716,000円(税込)の3つからお選び頂きます。
※手術の際に別途、静脈内鎮静法(麻酔)代と抜歯代がかかります。
※最終金額は問診後、見積もりにてご提示。
※プロビジョナル(仮歯)は、本歯よりも割れやすいため、食事制限が必要になる場合があります。
デンタルローンの目安
月々 15,759円~
※総額214.5万円で計算(195万円+消費税)
※最終お支払い額15,637円~・全180回払い・実質年率3.9%
※契約会社の手数料の変更に伴い一部上下あり
オールオン4 は通常のインプラントシステムの進化系になります。大きな特徴としては、オールオン4のインプラント体は通常のインプラントより深いポジションに埋入されるため感染に強く、長期間ご使用いただけます。
術後は仮歯になります。仮歯は硬い食事をとると割れてしまいます。白ごはんやパスタ程度は問題ないです。硬いパンやせんべい、沢庵は禁止です。本歯になれば食事の制限はなくなります。
モノリシックジルコニアブリッジ、ジルコニアフレームセラミックブリッジが推奨です。他に、硬質レジンブリッジ、アクリルブリッジ、チタンフレームハイブリッドセラミックブリッジもあります。
オールオン4 オーラルケアという専用の定期検診が必要です。専門の歯科衛生士により、歯科用の回転器具を用いてクリーニングをしていきます。半年に1回くらいが目安です。
福岡市南区大楠3丁目22−5
TEL : 0120-118-372
Email : info@ootawa-dc.com
月-金 09:00 – 18:30
土 09:00 – 18:00
3日以内に当院よりご連絡いたします。
もし、こちらより連絡がない場合はお電話をいただけますと幸いです。