ご希望や不安をお聞きします。個室で安心してご相談いただけます。
※WEB問診の場合はご来院不要です。
全部の歯が
1回で入る
ALLON4 ZYGOMA CLINIC
-オールオン4ザイゴマ専門医院-
医師紹介
わたしたちの願いは、患者様に最善の治療法を知っていただき、ご自身が思うベストな治療法を選択してもらうことです。
もう一度、あなたの素敵な笑顔を取り戻しましょう。
わたしたちがお手伝いします。
大多和 徳人
【経歴】
・九州大学歯学部卒業
・九州大学大学院顔面口腔外科卒業
・九州大学病院デンタルマキシロフェイシャルセンター勤務
・大分岡病院顎顔面外科マキシロフェイシャルユニット勤務
・医療法人香和会おおたわ歯科医院勤務
・ZAGAセンター 福岡 センター長
【所属】
・(一社)ザイゴマインプラント協会専門医
・ZYGOMA ZAGA CENTERS 認定専門医
・ICOI(国際インプラント学会)所属認定医
・顎顔面インプラント学会所属
・日本口腔外科学会所属 認定医
【専門】
・All-on-4ザイゴマインプラント
九州大学総長賞受賞
(テーア:3Dプリンターによる三次元骨再生)
・博士号取得
(テーマ:カスタムメイドチタンメッシュでの骨再生)
・国際特許取得
(主題:All-on-4のための三次元スキャンボディの開発)
・All-on-4インプラントブリッジの最新設計論文発表
(主題:顔面駆動スキャンボディを用いたall-on-4の可能性)
こんな方に選ばれています
当院が選ばれる6つの理由
症例数2000件を超える治療実績があります。
※2009年4月~2026年1月
症例数2000件を超える治療実績があります。
※2009年4月~2026年1月
症例数2000件を超える治療実績があります。
※2009年4月~2026年1月
症例数2000件を超える治療実績があります。
※2009年4月~2026年1月
症例数2000件を超える治療実績があります。
※2009年4月~2026年1月
症例数2000件を超える治療実績があります。
※2009年4月~2026年1月
ザイゴマインプラント協会
歯科医師が学びに訪れる信頼と実績
ザイゴマインプラント協会はオールオン4治療・ザイゴマインプラント治療の普及およびそれらの専門的知識、技術を有する歯科医師の育成によって国民のQOL向上を目標として活動しています。
ZAGA CENTER
FUKUOKA
世界でも数少ない選ばれた歯科医院
ZAGA CENTERSは、ザイゴマインプラントに特化した世界的な歯科専門医のネットワークです。
当院は、「ZAGA CENTERS」の認定施設 であり、理事長 大多和 徳人 (ナルト先生) は世界でも数少ないZAGA認定専門医 です。
ADVANCED ZYGOMATIC IMPLANT
The ZAGA Concept
日本語版
歯科医療の最後の砦
「ザイゴマインラント」





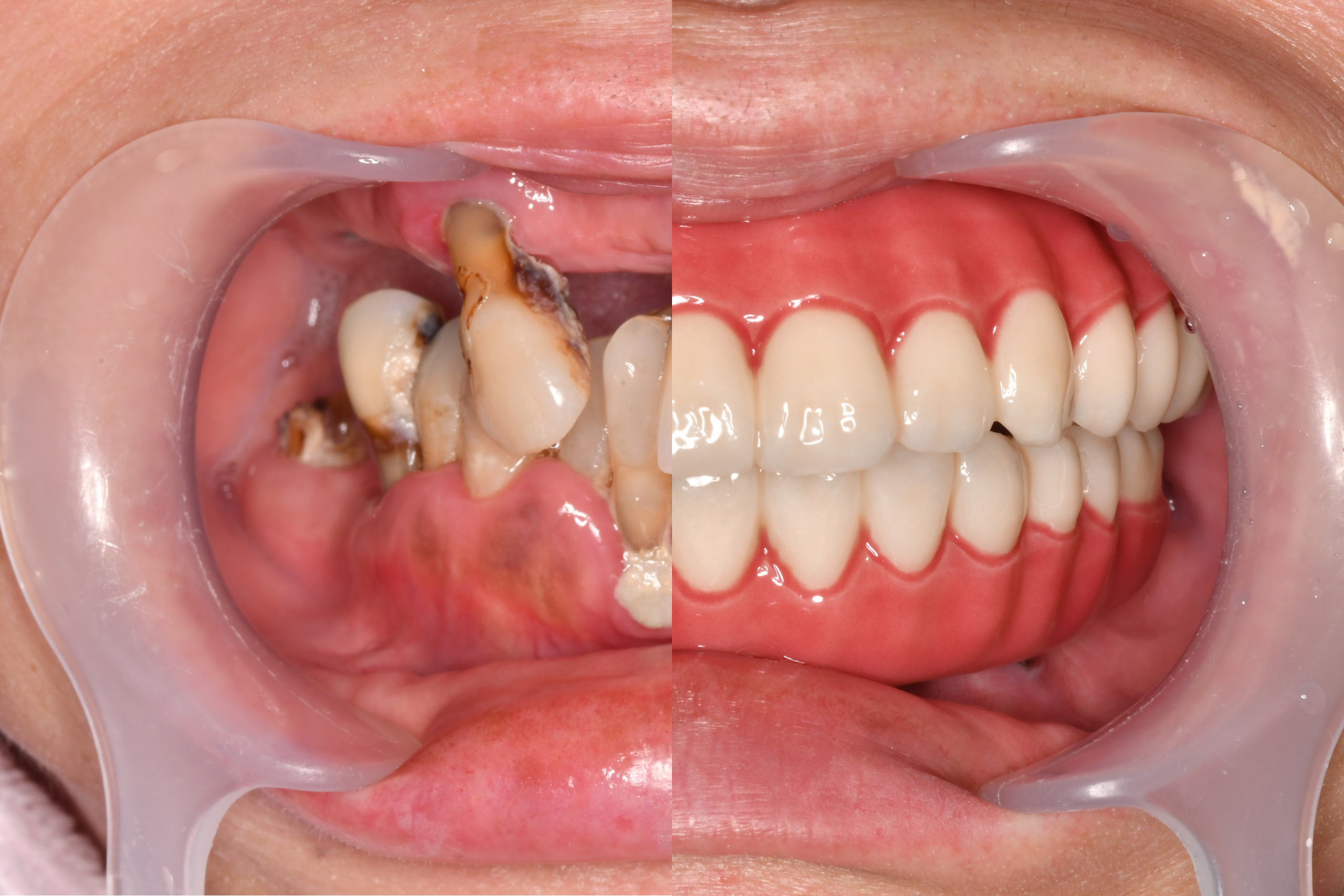
症例
1
オールオン4ザイゴマ0
「入れ歯に悩みながら過ごしたくない」
(55歳男性)
治療前
治療後
2
オールオン4ザイゴマ2
「入れ歯に悩みながら過ごしたくない」
(55歳男性)
治療前
治療後
3
オールオン4ザイゴマ
「入れ歯に悩みながら過ごしたくない。」
(55歳男性)
治療前
治療後
5回のご来院で治療完了

ご希望や不安をお聞きします。個室で安心してご相談いただけます。
※WEB問診の場合はご来院不要です。

<手術時間>
片顎 :1.5~2時間程
上下顎:2~3時間程度

口腔内が安定した段階で、本歯製作の精密な型取りを行います。

完成した本歯を装着し、噛み合わせやフィット感を丁寧に確認します。

本歯を装着し、自然な美しさと快適な噛み心地を完成させます。
1日で全部の歯が入る治療の流れ

お口の中の状態を細かい箇所まで撮影します。

患者様のお悩みをお聞きします。ご希望であれば、お見積りまでお出し致します。

血液検査や呼吸検査などを詳しく調べます。検査結果をもとに、最適な治療計画を立案いたします。
術前の流れは以上です。
2回目のご来院で手術となります。

お着替えなどの手術準備を行います。

<手術時間>
片顎:1.5~2時間程度
上下顎:2~3時間程度
術後は、麻酔がきれるまでお休みしていただきます。

お体に異常がないか確認いたします。
検査が終わり次第、ご帰宅になります。
固定式の歯が全部入った状態でご帰宅いただけます。その日から噛むことが可能です。
症例数2000件を超える治療実績があります。
※2009年4月~2026年1月
2
超難症例も対応
骨が全く無い方や他院で断られた方も対応致します。セカンドオピニオンも承ります。
3
審美性と機能性
装着する歯は全て3Dデータ化され、最新のCADソフトウェアにて0.1μm単位で設計します。あなたの『完璧な歯』の追求が可能です。